Trong giai đoạn mang thai, sức khỏe răng miệng đóng vai trò quan trọng đối với cả mẹ và bé. Nhiều phụ nữ mang thai lo lắng liệu việc lấy cao răng có an toàn và cần thiết hay không. Cao răng không chỉ gây ra các vấn đề về nướu và sâu răng, mà còn có thể ảnh hưởng đến sức khỏe toàn diện của thai phụ. Vậy, bầu lấy cao răng có được không? Hãy cùng tìm hiểu chi tiết trong bài viết sau đây để nắm rõ được lưu ý khi chăm sóc răng miệng trong suốt thai kỳ.
Mục lục

Tại sao bà bầu nên chăm sóc răng miệng tốt hơn?
Trong giai đoạn mang thai, cơ thể phụ nữ trải qua nhiều thay đổi lớn về nội tiết tố và hệ miễn dịch. Những biến đổi này không chỉ ảnh hưởng đến sức khỏe tổng thể mà còn tạo ra nhiều thách thức cho sức khỏe răng miệng. Dưới đây là những lý do cụ thể vì sao bà bầu cần chăm sóc răng miệng cẩn thận hơn:
Hệ miễn dịch suy giảm
Trong giai đoạn mang thai, cơ thể phụ nữ thay đổi nội tiết tố làm suy yếu hệ miễn dịch, khiến cơ thể dễ bị nhiễm khuẩn hơn. Điều này đặc biệt nghiêm trọng đối với vùng miệng, nơi mà vi khuẩn có thể dễ dàng phát triển và gây ra các vấn đề như viêm nướu, sâu răng, và mảng bám tích tụ. Các vấn đề này không chỉ gây khó chịu mà còn có thể ảnh hưởng tiêu cực đến sức khỏe của thai nhi.
Thay đổi về chế độ ăn uống
Trong thời kỳ mang thai, phụ nữ thường thay đổi chế độ ăn uống để đáp ứng nhu cầu dinh dưỡng của cả mẹ và bé. Thường xuyên bổ sung các thực phẩm giàu đường và axit, như đồ ăn ngọt, chua, và mặn, có thể làm tăng nguy cơ sâu răng và tích tụ mảng bám. Đặc biệt, thói quen ăn vặt mà không vệ sinh răng miệng đúng cách sẽ tạo điều kiện thuận lợi cho vi khuẩn phát triển.
Môi trường khoang miệng thay đổi
Hiện tượng nôn nghén thường gặp ở phụ nữ mang thai làm thay đổi độ pH trong khoang miệng, làm giảm khả năng bảo vệ của nước bọt đối với răng. Axit từ dạ dày khi trào ngược lên khoang miệng cũng gây mòn men răng, tạo điều kiện cho vi khuẩn tấn công và gây ra các bệnh lý răng miệng.
Ợ chua và trào ngược axit dạ dày
Bên cạnh tình trạng nôn nghén, nhiều phụ nữ mang thai còn phải đối mặt với hiện tượng ợ chua và trào ngược axit. Axit dạ dày trào ngược lên miệng không chỉ làm mòn men răng mà còn gây ra mùi hôi khó chịu và tăng nguy cơ viêm nướu. Việc chăm sóc răng miệng đúng cách giúp giảm thiểu những tác động tiêu cực này, bảo vệ sức khỏe răng miệng cho mẹ và thai nhi.
Chăm sóc răng miệng đúng cách trong suốt thai kỳ là điều vô cùng cần thiết để bảo vệ sức khỏe của cả mẹ và bé. Bà bầu nên thường xuyên kiểm tra răng miệng, duy trì thói quen vệ sinh răng miệng hàng ngày và tham khảo ý kiến của bác sĩ nha khoa để có những biện pháp phòng ngừa và điều trị kịp thời. Việc chú trọng đến răng miệng không chỉ giúp bà bầu tránh được những bệnh lý nha khoa mà còn đảm bảo sự phát triển khỏe mạnh của thai nhi.
Xem thêm: Lấy cao răng có làm trắng răng không?
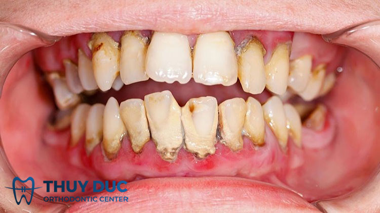
Cao răng có ảnh hưởng tới sức khỏe của bà bầu không?
Cao răng, hay mảng bám trên răng, không chỉ ảnh hưởng đến vẻ ngoài mà còn có thể tác động tiêu cực đến sức khỏe răng miệng và toàn diện, đặc biệt là đối với phụ nữ mang thai. Dưới đây là một ảnh hưởng của cao răng đến sức khỏe của bà bầu:
Nguy cơ viêm nhiễm và bệnh nha chu

Cao răng tạo môi trường thuận lợi cho vi khuẩn phát triển, dẫn đến viêm nướu và bệnh nha chu. Phụ nữ mang thai có hệ miễn dịch yếu hơn, làm cho tình trạng viêm nhiễm này dễ dàng xảy ra và khó kiểm soát hơn. Viêm nha chu nặng có thể gây ra các vấn đề nghiêm trọng như sưng nướu, chảy máu và thậm chí mất răng nếu không được điều trị kịp thời.
Ảnh hưởng đến thai nhi
Vi khuẩn từ bệnh nha chu có thể xâm nhập vào máu, gây ra những biến chứng nguy hiểm cho thai nhi. Một số nghiên cứu đã chỉ ra rằng, bà bầu bị bệnh nha chu có nguy cơ sinh non và sinh con nhẹ cân cao hơn. Do đó, việc kiểm soát và loại bỏ cao răng là rất quan trọng để bảo vệ sức khỏe của cả mẹ và bé.
Tăng cảm giác khó chịu
Cao răng không chỉ gây mất thẩm mỹ mà còn làm tăng cảm giác khó chịu trong miệng, gây hôi miệng và làm giảm sự tự tin. Trong thời gian mang thai, phụ nữ thường nhạy cảm hơn với những thay đổi nhỏ, do đó tình trạng này có thể gây ra nhiều phiền toái và stress không cần thiết.
Xem thêm: Lấy cao răng có ảnh hưởng gì không?
Bà bầu lấy cao răng được không?
Phụ nữ mang thai hoàn toàn có thể thực hiện lấy cao răng định kỳ. Quá trình này là một kỹ thuật nha khoa đơn giản, chỉ bao gồm việc loại bỏ mảng bám và cao răng tích tụ trên bề mặt răng và dưới nướu. Kỹ thuật này không yêu cầu sử dụng thuốc mê hay thuốc tê, do đó không gây ảnh hưởng tiêu cực đến thai nhi.
Mặc dù việc lấy cao răng là an toàn, nhưng có những thời điểm nhất định trong thai kỳ mà phụ nữ nên tránh. Các bác sĩ khuyến cáo rằng, bà bầu không nên lấy cao răng trong ba tháng đầu và ba tháng cuối của thai kỳ.
- Ba tháng đầu: Đây là giai đoạn quan trọng khi các cơ quan chính của thai nhi đang hình thành. Bất kỳ tác động nào đến sức khỏe của người mẹ đều có thể ảnh hưởng đến sự phát triển của thai nhi.
- Ba tháng cuối: Trong giai đoạn này, tử cung đã lớn và có thể gây ra sự khó chịu khi phải nằm lâu trên ghế nha khoa. Hơn nữa, thai nhi cũng đang phát triển nhanh chóng và bất kỳ căng thẳng nào đối với người mẹ cũng có thể gây ra các biến chứng không mong muốn.
Những điều cần lưu ý khi cạo vôi răng cho bà bầu
Việc cạo vôi răng trong thời kỳ mang thai cần được thực hiện cẩn thận để đảm bảo an toàn cho cả mẹ và thai nhi. Dưới đây là những lưu ý quan trọng khi thực hiện thủ thuật này cho bà bầu:
1. Thời điểm thích hợp để lấy cao răng:

Ba tháng đầu của thai kỳ là giai đoạn nhạy cảm khi thai nhi đang hình thành các cơ quan quan trọng. Ba tháng cuối, tử cung đã lớn, có thể gây khó chịu khi phải nằm lâu trên ghế nha khoa và tăng nguy cơ căng thẳng cho mẹ. Do đó, thời điểm tốt nhất để cạo vôi răng là trong ba tháng giữa (từ tuần thứ 14 đến tuần thứ 27) khi thai kỳ ổn định. Mẹ nên lưu ý khoảng thời gian lấy cao răng phù hợp để tránh ảnh hưởng đến thai nhi.
Tham khảo thêm: Lấy cao răng giá bao nhiêu? Bao lâu lấy cao răng 1 lần
2. Tham khảo ý kiến bác sĩ sản khoa: Trước khi quyết định cạo vôi răng, bà bầu nên tham khảo ý kiến bác sĩ sản khoa để xác nhận rằng thủ thuật này là an toàn cho tình trạng sức khỏe hiện tại của mình. Đồng thời, khi thực hiện khám nha khoa cũng cần thông báo với bác sĩ là bản thân đang mang thai để có những biện pháp chăm sóc và xử lý phù hợp.
3. Lựa chọn phòng khám uy tín: Chọn một cơ sở nha khoa uy tín với đội ngũ bác sĩ giàu kinh nghiệm trong việc chăm sóc răng miệng cho phụ nữ mang thai. Các bác sĩ này sẽ hiểu rõ hơn về các biện pháp an toàn cần thiết và có kinh nghiệm xử lý các tình huống đặc biệt.
4. Kỹ thuật cạo vôi răng: Để giảm thiểu nguy cơ bị nhiễm trùng các dụng cụ và thiết bị sử dụng cạo vôi răng cần được khử trùng đúng cách. Đặc biệt khi thực hiện thủ thuật này cho bà bầu nên tránh sử dụng thuốc tê, trừ khi thực sự cần thiết và được bác sĩ sản khoa đồng ý.
5. Chăm sóc răng miệng sau khi lấy cao răng
Sau khi cạo vôi răng, bà bầu nên chải răng ít nhất hai lần mỗi ngày với bàn chải mềm và kem đánh răng chứa fluoride để duy trì vệ sinh răng miệng. Ngoài ra, để loại bỏ sạch mảng bám và thức ăn thừa giữa các kẽ răng mẹ bầu nên sử dụng thêm chỉ nha khoa ít nhất 1 lần trong ngày.
Mẹ bầu cũng nên lưu ý hạn chế tiêu thụ các thực phẩm chứa nhiều đường và axit để tránh hình thành mảng bám mới. Bổ sung thực phẩm giàu canxi và vitamin để tăng cường sức khỏe răng miệng.
Xem thêm: Lấy cao răng xong kiêng gì và ăn gì?
6. Theo dõi sức khỏe răng miệng: Mẹ bầu nên đặt lịch khám nha khoa định kỳ để kiểm tra và xử lý kịp thời các vấn đề răng miệng, tránh những biến chứng nguy hiểm có thể xảy ra.
Những lưu ý trên sẽ giúp phụ nữ mang thai thực hiện cạo vôi răng một cách an toàn và hiệu quả, bảo vệ sức khỏe răng miệng và đảm bảo thai kỳ khỏe mạnh.
Lưu ý chăm sóc răng miệng khỏe mạnh trong thai kỳ
Chăm sóc răng miệng đúng cách trong suốt thai kỳ không chỉ bảo vệ sức khỏe của mẹ nói chung, sức khỏe răng miệng nói riêng mà còn đảm bảo sự phát triển toàn diện cho thai nhi. Dưới đây là một số lưu ý quan trọng để duy trì răng miệng khỏe mạnh trong thời kỳ mang thai:
- Thực hiện chải răng đúng cách: Mẹ bầu nên sử dụng bàn chải mềm và kem đánh răng chứa fluoride để làm sạch răng vào buổi sáng và trước khi đi ngủ. Khi đánh răng mẹ nên thực hiện chải nhẹ nhàng theo chuyển động tròn để tránh tổn thương nướu. Đảm bảo chải sạch cả mặt ngoài, mặt trong và bề mặt nhai của răng. Tham khảo chi tiết: Các bước đánh răng đúng cách cho hàm răng chắc khỏe
- Sử dụng chỉ nha khoa hàng ngày: Sử dụng chỉ nha khoa sẽ giúp loại bỏ mảng bám và thức ăn thừa giữa các kẽ răng, nơi bàn chải không thể tiếp cận. Mẹ chỉ cần nhẹ nhàng kéo chỉ nha khoa vào kẽ răng và di chuyển lên xuống để làm sạch.
- Chế độ ăn uống lành mạnh: Mẹ nên ăn nhiều thực phẩm giàu canxi như sữa, phô mai, và các loại rau xanh. Bổ sung vitamin D để tăng cường sức khỏe xương và răng. Lưu ý, tránh tiêu thụ các thực phẩm chứa nhiều đường và đồ uống có gas để giảm nguy cơ sâu răng.
- Điều chỉnh thói quen vệ sinh răng miệng khi bị ốm nghén: Nếu bạn bị nôn nghén, hãy súc miệng bằng nước muối loãng hoặc nước sạch ngay sau đó để loại bỏ axit và bảo vệ men răng. Bên cạnh đó, mẹ nên sử dụng nước súc miệng chứa fluoride hoặc kháng khuẩn để tăng cường vệ sinh răng miệng và ngăn ngừa vi khuẩn phát triển.
- Kiểm soát tình trạng ợ chua và trào ngược axit: Mỗi ngày mẹ nên chia nhỏ các bữa ăn trong ngày để giảm tình trạng trào ngược axit do ăn quá no. Mẹ cũng nên uống nước đều đặn để duy trì độ ẩm cho khoang miệng và hỗ trợ tiêu hóa.
- Tránh căng thẳng và duy trì tâm lý thoải mái: Căng thẳng có thể ảnh hưởng đến sức khỏe răng miệng, do đó hãy thực hiện các biện pháp thư giãn như yoga, thiền để giảm stress. Đồng thời, mẹ nên ngủ đủ giấc giúp cơ thể phục hồi và duy trì sức khỏe tốt hơn.
Việc duy trì răng miệng khỏe mạnh trong thai kỳ không chỉ giúp bà bầu cảm thấy tự tin và thoải mái mà còn góp phần quan trọng vào việc bảo vệ sức khỏe toàn diện cho cả mẹ và bé. Bằng cách tuân thủ các lưu ý trên, bà bầu có thể ngăn ngừa các vấn đề răng miệng và đảm bảo một thai kỳ an toàn và khỏe mạnh.

