
Hiện nay vẫn còn rất nhiều khách hàng đã và đang gặp phải tình trạng tụt lợi. Tụt lợi là một tình trạng phổ biến, tuy nhên vẫn còn rất nhiều người đang thắc mắc liệu bị tụt lợi có chỉnh nha được hay không? Cùng tham khảo bài viết dưới đây để câu trả lời cho riêng mình nhé!
Tụt lợi là gì? Biểu hiện của tụt lợi
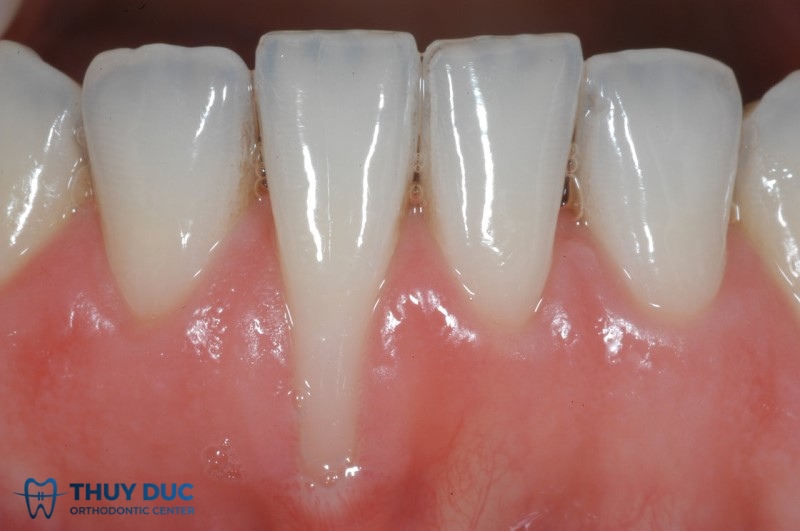
Tụt lợi (hay còn có tên gọi khác là tụt nướu răng) đây là hiện tượng xảy ra khi phần lợi di chuyển thấp xuống dưới chân răng, làm chân răng dài hơn so với trước. Đây là trường hợp xảy ra khá phổ biến mà rất nhiều người gặp phải.

Chúng ta dễ dàng nhận biết hiện tượng tụt lợi thông qua mắt thường. Bởi vì thời gian đầu dấu hiệu của tụt lợi là lợi bị sưng đỏ, đau nhức và khó chịu. Ngoài ra một số biểu hiện khác có thể thấy rõ như chảy máu chân răng, hơi thở có mùi hôi, đặc biệt khi ăn thức ăn quá nóng hoặc quá lạnh sẽ dẫn đến tình trạng ê buốt chân răng do lợi bị tụt. Trường hợp nặng hơn có thể dẫn tới việc răng bị lung lay, yếu dần và có nguy cơ rụng sớm.
Bị tụt lợi có niềng răng được không?
Do tụt lợi có biểu hiện ở mỗi giai đoạn là khác nhau, do đó mức độ và tình trạng ở mỗi người cũng sẽ có sự khác nhau. Trên thực tế, tụt lợi không hề gây nguy hiểm cho sức khỏe và nếu được phát hiện và điều trị kịp thời, bệnh lý này hoàn toàn có thể khỏi trong thời gian ngắn.

Bởi vậy, bị tụt lợi có niềng răng được hay không còn phụ thuộc vào mức độ nặng nhẹ ở mỗi người. Cụ thể:
- Đối với trường hợp tụt lợi ở mức độ nhẹ: các bác sĩ chỉnh nha vẫn có thể can thiệp niềng răng được do hàm và lợi của bạn trong trường hợp này vẫn còn chắc và khỏe mạnh. Tuy nhiên, trong quá trình niềng răng phải theo dõi của bác sĩ cũng như tuân theo quy trình và phác đồ điều trị đã đề ra.
- Đối với trường hợp tụt lợi ở mức độ nặng: lời khuyên của bác sĩ chỉnh nha trong trường hợp này là không nên niềng răng. Lúc này răng của bạn còn rất yếu cộng với tác động lực đến từ các khí cụ chỉnh nha có thể làm cho răng bị hỏng và gây tổn thương răng và lợi.
Có thể bạn muốn biết: Hay bị chảy máu lợi có chỉnh nha được không?
Bị tụt lợi khi niềng răng – nguyên nhân và cách khắc phục
Tụt lợi làm cho răng trở nên dài và to hơn, khiến hàm răng của bạn trở nên mất cân xứng. Ngoài ra nếu tình trạng này kéo dài lâu cũng sẽ gây nên những biến chứng nguy hiểm cho sức khỏe răng miệng Vậy nguyên nhân nào dẫn đến tình trạng niềng răng bị tụt lợi và cách khắc phục ra sao? Cùng theo dõi tiếp nhé!
Mảng bám cao răng
Khi bạn đang trong quá trình niềng răng, việc vệ sinh chăm sóc răng miệng sẽ trở nên khó khăn hơn so với bình thường do bạn đang đeo các khí cụ chỉnh nha. Do đó khi bạn vệ sinh răng miệng không ke sẽ dễ dàng dẫn tới việc các thức ăn thừa sẽ bám lại trên các kẽ răng tạo thành các mảng bám cao răng. Đây cũng chính là môi trường vô cùng thuận lợi để các vi khuẩn sinh sôi và phát triển và là nguyên nhân dẫn đến tình trạng viêm nướu và tụt lợi phổ biến nhất hiện nay.

Giải pháp khắc phục nguyên nhân này là bạn cần phải quan tâm đến vấn đề chăm sóc và vệ sinh răng miệng nhiều hơn nữa. Định kỳ 6 tháng 1 lần bạn nên đến các phòng khám nha khoa để lấy cao răng nhằm hạn chế những nguy cơ mắc các bệnh lý liên quan đến răng miệng gây tụt lợi. Trước khi bắt đầu niềng răng, bạn nên xử lý hoàn toàn triệt để các vấn đề bệnh lý về nha chu.
Có một chế độ ăn uống hợp lý, lành mạnh, tránh sử dụng các thực phẩm đồ uống có chứa nhiều đường để hạn chế các tình trạng sâu răng trước khi niềng răng.
Tuân theo sự chỉ định của nha sĩ trong vấn đề chăm sóc cũng như vệ sinh răng miệng: Sử dụng nước súc miệng theo chỉ định để loại bỏ hoàn toàn vi khuẩn ở kẽ răng đồng thời ngăn ngừa việc hình thành mảng bám.
Đánh răng sai cách
Đánh răng sai cách cũng là một trong các nguyên nhân gây tình trạng tụt lợi. Đã có rất nhiều khách hàng đã không nhận ra được việc đánh răng sai cách hàng ngày, cụ thể: bạn dùng một lực mạnh lên đầu bàn chải tác động lên răng kết hợp với việc sử dụng bàn chải có đầu lông cứng sẽ dẫn đến việc tổn thương nướu, khiến nướu bị sưng, viêm và chảy máu. Tình trạng này kéo dài sẽ dẫn đến việc lợi bị tiêu giảm, lợi di chuyển vào sâu trong chân răng gây ra tình trạng tụt lợi.

Chải răng nhẹ nhàng, tác động lực vừa phải, sử dụng đầu bàn chải có đầu lông mềm mại và thay đổi cách đánh răng sao cho phù hợp để tránh tác động không tốt đến lợi.
Lực siết mắc cài không phù hợp
Trong quá trình niềng răng, việc điều chỉnh lực siết của mắc cài là rất quan trọng. Chúng không chỉ đảm bảo cho quá trình niềng răng diễn ra đúng quy trình mà còn là nguyên nhân gây tụt lợi. Nếu lực siết của mắc cài quá mạnh gây tác động đến nướu cũng sẽ khiến răng dễ bị lung lay. Nếu duy trì lâu, tình trạng tụt lợi sẽ chuyển biến nặng. Vì vậy, khi có một dấu hiệu bất thường nào đó, hãy tới ngay nha khoa để các bác sĩ có thể thăm khám và có những giải pháp xử lý kịp thời nhé.
Giải pháp cho nguyên nhân này là bạn phải lựa chọn được một địa chỉ nha khoa uy tín và đáng tin cậy, với đội ngũ bác sĩ có trình độ chuyên môn cao, máy móc và trang thiết bị hiện đại. Từ đó, hạn chế những biến chứng trong quá trình chỉnh nha.
Các bệnh lý về răng miệng
Các bệnh lý về răng miệng như viêm chân răng, viêm nha chu… là nguyên nhân dẫn đến tình trạng niềng răng bị tụt lợi. Do đó, để tình trạng tụt lợi không xảy ra thì trước tiên bạn phải chăm sóc sức khỏe răng miệng của mình đúng cách. Bởi vậy, trước khi niềng răng bạn nên khắc phục hoàn toàn hết tất cả các bệnh lý về răng miệng để đảm bảo hiệu quả quá trình chỉnh nha. Còn đối với trường hợp thực hiện niềng răng, các bác sĩ sẽ chỉ định bạn xử lý dứt điểm hết các vấn đề này. Bởi nếu bỏ qua việc này, bạn sẽ dễ bị tình trạng tụt lợi trong quá trình niềng răng.
Xem thêm:

