Hàm duy trì cố định là phương pháp cố định phổ biến, được nhiều người và ngay cả các bác sĩ lựa chọn cho bệnh nhân của mình. Cùng tìm hiểu những thông tin chi tiết về hàm duy trì cố định, cùng những ưu nhược điểm của loại khí cụ này trong bài viết dưới đây.

Mục lục
Hàm duy trì cố định là gì?
Sau quá trình niềng răng kéo dài từ 1,5 đến 2 năm chúng ta sẽ cần bước vào giai đoạn duy trì. Đúng như cách gọi, đây là giai đoạn rất quan trọng sau niềng răng nhằm đảm bảo kết quả niềng, giúp răng không bị chạy về vị trí cũ. Đây cũng là giai đoạn cố định răng đúng vị trí đã được nắn chỉnh và ổn định khớp cắn. Do đó, duy trì sau niềng là một giai đoạn rất quan trọng.

Có khá nhiều loại hàm duy trì như: hàm duy trì tháo lắp Hawley, hàm duy trì tháo lắp trong suốt và hàm duy trì cố định – loại khí cụ mà chúng ta sẽ tìm hiểu trong bài viết này.
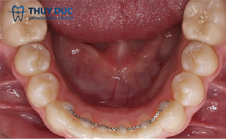
Hàm duy trì cố định có dạng một sợi dây thép mỏng hoặc sợi nhựa mềm được gắn vào mặt sau của răng, thường là trên răng cửa sau. Cũng giống như các loại hàm duy trì khác, hàm duy trì cố định có tác dụng duy trì vị trí chính xác của răng và ngăn chúng di chuyển ra khỏi vị trí đã được điều chỉnh.
Hàm duy trì cố định thường được sử dụng cho nhiều trường hợp răng. Tùy vào tình trạng, quyết định sử dụng hàm duy trì cố định hay hàm duy trì rời phụ thuộc vào tình trạng cụ thể của từng bệnh nhân và sự tư vấn từ bác sĩ chỉnh nha.
Ưu nhược điểm của hàm duy trì cố định
Ưu điểm của hàm duy trì cố định
- Hiệu quả duy trì vị trí răng: Hàm duy trì cố định giữ cho răng ở vị trí đã điều chỉnh, ngăn ngừa sự di chuyển ngược trở lại của răng sau quá trình điều trị chỉnh nha. Điều này giúp duy trì kết quả đạt được sau một thời gian dài.
- Không yêu cầu tương tác thường xuyên: Hàm duy trì cố định không cần phải tháo ra và đeo lại như hàm duy trì rời. Điều này giúp người dùng dễ dàng duy trì việc sử dụng và giảm nguy cơ bỏ sót đeo hàm.
- Không ảnh hưởng đến thói quen ăn uống và tiếng nói: Hàm duy trì cố định không gây rối loạn trong việc ăn uống hay nói chuyện, do đó không yêu cầu sự thích nghi như hàm duy trì rời.
- Khả năng kiểm soát của bác sĩ: Hàm duy trì cố định được gắn bởi bác sĩ chỉnh nha, giúp họ kiểm soát và điều chỉnh theo cách tốt nhất để duy trì sự ổn định của răng.

Nhược điểm của hàm duy trì cố định
- Vệ sinh khó khăn: Hàm duy trì cố định làm cho việc làm sạch xung quanh răng trở nên khó khăn hơn, do bạn không thể tháo ra để chải răng và vệ sinh như với hàm duy trì rời.
- Yêu cầu quy trình gắn và tháo ra: Việc gắn và tháo hàm duy trì cố định đòi hỏi sự can thiệp chuyên nghiệp từ bác sĩ chỉnh nha và có thể mất một thời gian đáng kể.
- Có thể gây kích ứng: Ban đầu, hàm duy trì cố định có thể gây ra mất cảm giác, khó chịu và ảnh hưởng tới tiếng nói cho một số người.
- Giới hạn về khả năng linh hoạt của răng: Hàm duy trì cố định có thể giới hạn mức độ linh hoạt tự nhiên của răng, ảnh hưởng đến sự thoải mái trong việc cắn nhai.
- Yêu cầu theo dõi chuyên nghiệp: Việc duy trì hàm duy trì cố định yêu cầu sự theo dõi và điều chỉnh định kỳ từ bác sĩ chỉnh nha để đảm bảo hiệu quả và sự thoải mái.
Tùy thuộc vào tình trạng của mỗi bệnh nhân và sự tư vấn từ bác sĩ chỉnh nha, hàm duy trì cố định có thể là một lựa chọn tốt để duy trì sự ổn định của răng sau điều trị chỉnh nha.
Hàm duy trì cố định bao nhiêu tiền?
Đây cũng là một vấn đề được nhiều người quan tâm. Thông thường, hàm duy trì cố định sẽ được gắn lên răng ngay trong ngày tháo niềng, kết thúc chỉnh nha. Do có kết cấu đơn giản, thao tác thực hiện cũng rất nhanh chóng nên loại hàm này thường được làm miễn phí. Tuy nhiên, không phải ở tất cả nha khoa đều miễn phí gắn mắc cài cho khách hàng, chi phí cho laoij hàm này dao động trong khoảng 700 đến 900 ngàn đồng.
Những lưu ý khi dùng hàm duy trì cố định
Khi sử dụng hàm duy trì cố định, có một số lưu ý quan trọng mà bạn cần tuân theo để đảm bảo hiệu quả và sức khỏe răng miệng của bạn.

Dưới đây là một số lưu ý khi dùng hàm duy trì cố định:
- Vệ sinh miệng thường xuyên: Mặc dù hàm duy trì cố định được gắn chặt lên răng, bạn vẫn cần duy trì việc vệ sinh miệng định kỳ. Sử dụng bàn chải và chỉ định bác sĩ để làm sạch xung quanh hàm cũng như răng.
- Hạn chế thực phẩm cứng và dẻo: Tránh ăn những thực phẩm quá cứng hoặc dẻo có thể gây áp lực lên hàm và gây ra sự di chuyển không mong muốn của răng.
- Kiểm tra hàm định kỳ: Theo dõi tình trạng của hàm duy trì cố định và răng của bạn. Nếu bạn phát hiện bất kỳ vấn đề gì như hàm bị nứt hoặc mất kết nối, hãy liên hệ với bác sĩ chỉnh nha ngay lập tức.
- Tránh thói quen xấu: Tránh những thói quen gây tác động tiêu cực lên hàm và răng, như cắn móng tay, nhai nguyên liệu không thích hợp, hoặc dùng răng để mở chai.
- Tuân thủ hướng dẫn từ bác sĩ chỉnh nha: Bác sĩ sẽ cung cấp hướng dẫn cụ thể về việc sử dụng và chăm sóc hàm duy trì cố định. Tuân thủ theo hướng dẫn này để đảm bảo sự hiệu quả và an toàn.
- Thăm khám định kỳ: Điều này giúp bác sĩ chỉnh nha kiểm tra tình trạng của hàm duy trì cố định và răng, và điều chỉnh cần thiết để đảm bảo sự ổn định.
- Thông báo cho bác sĩ khi có vấn đề phát sinh: Nếu bạn gặp bất kỳ vấn đề, khó khăn hoặc không thoải mái nào liên quan đến hàm duy trì cố định, hãy báo cho bác sĩ chỉnh nha ngay lập tức để được tư vấn và hỗ trợ.
- Nhớ rằng, việc duy trì và chăm sóc hàm duy trì cố định đúng cách là quan trọng để duy trì kết quả của quá trình điều trị chỉnh nha và sức khỏe của răng miệng của bạn.
Đọc thêm:
Duy trì là một giai đoạn rất quan trọng trong chỉnh nha. Dù dùng loại hàm nào để duy trì thì điều quan trọng nhất vẫn là tuân thủ hướng dẫn và chỉ định của bác sĩ. Để có một hàm răng đẹp khỏe mạnh, kết quả duy trì được lâu bạn hãy cố gắng đeo hàm duy trì nhé!

