Một hàm răng thẳng đều và chuẩn khớp cắn là mong muốn của tất cả mọi người. Tuy nhiên, tình trạng khớp cắn chéo lại phần nào cản trở mong muốn trên trở thành sự thật. Vậy nên điều trị khớp cắn chéo như thế nào cho hiệu quả và an toàn? Cùng tìm câu trả lời trong bài viết dưới đây.
Mục lục
Khớp cắn chéo là gì? Có biểu hiện như thế nào?
Khớp cắn chéo là một dạng sai lệch của hàm răng khi các răng trên cung hàm có hướng mọc không đều mà thò thụt khác nhau. Điều này khiến cho hàm trên và hàm dưới không hoàn toàn đối xứng mà lệch nhau, đồng thời cũng làm mất sự cân đối hài hòa của răng trên cung hàm, những người răng khớp cắn chéo thường có răng khấp khểnh không đều.
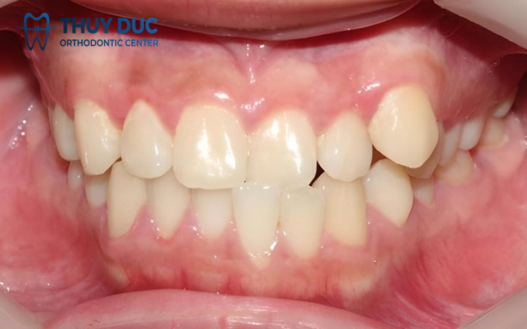
Không giống với hô, móm hay tình trạng khớp cắn đối đầu, khớp cắn chéo ít biểu hiện ra bên ngoài mặt của bệnh nhân mà chỉ được xác định khi quan sát răng của họ. Nhìn chung, biểu hiện của khớp cắn chéo tương tự như ảnh minh họa dưới đây:

Nguyên nhân gây khớp cắn chéo
Tình trạng khớp cắn chéo có thể xuất hiện ở tất cả độ tuổi cả người lớn và trẻ em. Khớp cắn chéo cũng có nhiều nguyên nhân gây ra. Những nguyên nhân đó được liệt kê dưới đây:
Do di truyền
Có thể bạn chưa biết, những lệch lạc về răng hay vị trí sắp xếp của răng cũng bị ảnh hưởng bởi yếu tố di truyền. Do đó, nếu trong gia đình, họ hàng có người có các sai lệch này thì thế hệ con cháu sau này có thể sở hữu những đặc điểm di truyền như vậy.
Vì vấn đề này phụ thuộc vào gen nên không có cách nào để ngăn chặn khớp cắn chéo. Tuy nhiên, nếu được phát hiện sớm và điều trị đúng cách thì hoàn toàn có thể điều trị khỏi được.
Do các thói quen xấu
Những thói quen hình thành từ khi còn nhỏ như: mút tay, đẩy lưỡi, thở bằng miệng, sử dụng lâu dài núm vú giả hoặc bú bình,… được duy trì đến giai đoạn trẻ em mọc răng có thể dẫn đến những sai lệch của răng trong đó có khớp cắn chéo.

Do mất răng sữa quá sớm
Răng sữa rụng quá sớm tạo ra khoảng trống rộng để các răng vĩnh viễn khác phát triển nhưng một vài trường hợp phát triển không đúng hướng. Cho đến khi các răng khác mọc lên thường mọc xen vào nhau dẫn đến khớp cắn chéo.
Do mọc răng vĩnh viễn quá muộn
Răng sữa tồn tại lâu hơn bình thường sẽ ảnh hưởng đến sự phát triển của răng vĩnh viễn. Nếu một chiếc răng sữa không tự động rụng đi theo quy trình thì có thể khiến chiếc răng ở hàm đối diện bị mọc chéo đi và ảnh hưởng đến hướng mọc của các răng khác. Do đó, cần phải nhổ chiếc răng đó đi để những răng vĩnh viễn khác có thể phát triển một các bình thường.
Dù là nguyên nhân nào thì khớp cắn chéo vấn gây nên những ảnh hưởng đến thẩm mỹ gương mặt và sức khỏe răng miệng của chúng ta. Vì vậy, cần điều trị tình trạng này càng sớm càng tốt.
Các phương pháp điều trị khớp cắn chéo
Để điều trị khớp cắn chéo có nhiều phương pháp khác nhau, tùy thuộc vào mức độ sai lệch và mong muốn của từng người để đưa ra biện pháp điều trị tốt nhất. Những biện pháp được sử dụng để điều trị khớp cắn chéo là:
Bọc răng sứ
Không chỉ là một phương pháp cải thiện thẩm mỹ, bọc răng sứ còn có thể được ứng dụng điều trị một số trường hợp khớp cắn chéo ở mức độ nhẹ của người lớn. Đặc biệt là những người có khớp cắn ổn định chỉ có sự lệch lạc ở một vài răng thì dán sứ có thể là một biện pháp để lựa chọn.
Khi tiến hành bọc răng sứ, bác sĩ hoặc kỹ thuật viên nha khoa sẽ mài đi một phần răng sau đó mới chụp phần răng sứ nhân tạo ra bên ngoài. Việc này không chỉ giúp cải thiện màu sắc, hình thái của răng mà còn giúp khớp cắn ổn định hơn.
Có nhiều loại răng sứ khác nhau, chủ yếu khác nhau ở quốc gia sản xuất, còn hầu hết đề có cấu tạo và công dụng giống nhau. Do đó, chi phí cũng chênh lệch khá nhiều. Tùy vào sở thích và nhu cầu của mỗi người để lựa chọn loại răng sứ phù hợp.
Tham khảo thêm: Bọc răng sứ loại nào tốt?

Phẫu thuật hàm
Trong những trường hợp nghiêm trọng nhất, phẫu thuật hàm (phẫu thuật chỉnh hình) được sử dụng để điều chỉnh độ lệch. Trong thủ tục này, bác sĩ phẫu thuật hàm mặt di chuyển hàm trên và hàm dưới về phía trước theo cách có mục tiêu.
Thông thường, quá trình phẫu thuật khớp cắn chéo diễn ra như sau:
– Đánh giá và lập kế hoạch: Bước đầu tiên là đánh giá tình trạng của răng và hàm của bạn bằng cách sử dụng hình ảnh chụp X-quang, máy quét 3D và phân tích kỹ thuật số. Sau đó, bác sĩ sẽ lập kế hoạch điều trị dựa trên tình trạng cụ thể của bạn.
– Phẫu thuật: Phẫu thuật hàm thường được tiến hành bởi bác sĩ phẫu thuật. Quá trình phẫu thuật sẽ thay đổi tùy thuộc vào từng trường hợp cụ thể, nhưng thường bao gồm cắt xương hàm và ghép xương lại để tạo ra sự cân đối giữa hàm trên và hàm dưới. Trong một số trường hợp, cần điều chỉnh cả xương hàm và xương khuỷu.
– Hồi phục và điều trị sau phẫu thuật: Tuân thủ các chỉ dẫn của bác sĩ, uống thuốc đúng hướng dẫn và hạn chế một số hoạt động như ăn cứng hoặc hút thuốc.
Niềng răng
Niềng răng ngày càng trở nên phổ biến, và trở thành biện pháp để khắc phục hiệu quả các vấn đề về sai lệch của răng. Với sự phát triển của khoa học – kỹ thuật trong y học mà ngày càng nhiều loại khí cụ thông minh ra đời, hỗ trợ tối đa cho bác sĩ trong việc nắn chỉnh, điều trị cho bệnh nhân.
Dù là phương pháp niềng nào, mắc cài sứ hay mắc cài kim loại thì hiệu quả niềng răng đều giống nhau. Bác sĩ sẽ sử dụng các khí cụ này để tác dụng một lực vừa đủ lên răng giúp răng dịch chuyển về vị trí mong muốn trên cung hàm. Đồng thời, căn chỉnh khớp cắn.

Hiện nay, phương pháp niềng răng trong suốt được khá nhiều người lựa chọn, nhờ những ưu điểm vượt trội mà niềng răng mắc cài không có được.
Thời gian niềng răng có thể thay đổi tùy thuộc vào tình trạng răng và mục tiêu điều trị. Thông thường, quá trình niềng răng kéo dài từ 1,5 đến 3 năm.
Về độ tuổi, niềng răng có thể được thực hiện ở mọi độ tuổi, từ trẻ em cho đến người lớn. Tuy nhiên, thời điểm tốt nhất để bắt đầu niềng răng thường là khi tình trạng răng của trẻ em đã phát triển đủ, thường là từ 10 đến 14.
Khi niềng răng cần lưu ý một số vấn đề như sau:
- Vệ sinh miệng: Việc vệ sinh răng miệng và niềng răng rất quan trọng trong quá trình điều trị. Bạn cần chú trọng đánh răng, sử dụng chỉ nha khoa và súc miệng đúng cách để ngăn ngừa vi khuẩn và mảng bám hình thành.
 - Kiểm tra định kỳ: Điều trị niềng răng thường đòi hỏi các cuộc kiểm tra định kỳ với nha sĩ để theo dõi quá trình điều chỉnh và điều chỉnh mắc cài khi cần thiết.
 - Hạn chế ăn uống: Trong quá trình điều trị, có những loại thức ăn và thói quen ăn uống cần hạn chế để tránh gây hư hỏng hoặc làm mất mắc cài, chẳng hạn như ăn thức ăn cứng, nhai kẹo cứng hay hút thuốc lá.
 
Hỏi đáp: Mặt lệch có nên chỉnh nha không?
Chi phí điều trị khớp cắn chéo
Bên cạnh phương pháp, hiệu quả điều trị thì chi phí cũng là một yếu tố được nhiều người quan tâm. Chi phí điều trị khớp cắn chéo phục thuộc vào tình trạng răng và phương pháp điều trị. Trước khi tiến hành điều trị, bác sĩ cần thăm khám để xem tình trạng răng phù hợp với phương pháp điều trị nào.
Chi phí bọc răng sứ điều trị khớp cắn chéo
Với bọc răng sứ, cần mài đi một phần nhỏ răng trước khi bọc răng sứ, đây chính là phần răng bị sai lệch. Bạn có thể tưởng tượng, để không ảnh hưởng đến cùi răng hay tủy răng thì không thể mài răng quá nhiều. Đó cũng là lý do phương pháp này chỉ có thể áp dụng với tình trạng sai lệch nhẹ như bài viết đã đề cập ở trên.
Chi phí bọc răng sứ khá đa dạng tùy theo loại sứ và giá riêng của từng nha khoa. Mời bạn tham khảo giá bọc răng sứ tại Nha khoa Thúy Đức trong bảng dưới đây:
| 
 STT  | 
Tên loại răng sứ | Chi phí, bảo hành | 
| 
 1  | 
Răng sứ Katana | 3,5 triệu đồng/răng bảo hành 7 năm | 
| 
 2  | 
Răng sứ Cercon | 
 5 triệu đồng/răng bảo hành 7 năm  | 
| 3 | Răng sứ Emax | 
 6 triệu đồng/răng bảo hành 10 năm  | 
| 4 | Răng sứ Lava | 
 7 triệu đồng/răng bảo hành 15 năm  | 
Chi phí phẫu thuật hàm điều trị khớp cắn chéo
Dao động từ 20 – 80 triệu là chi phí bệnh nhân cần chi trả để phẫu thuật hàm. Chi phí này sẽ còn phụ thuộc vào kỹ thuật, phương pháp để phẫu thuật.
Tuy nhiên, dù lựa chọn phương pháp nào thì bạn cũng cần cẩn thận, lựa chọn kỹ càng và tốt nhất nên phẫu thuật ở các bệnh viện lớn, uy tín, có bác sĩ nhiều kinh nghiệm. Tại đó sẽ có những thiết bị, máy móc hiện đại, quy trình gây mê, phòng gây mê, phòng phẫu thuật đạt tiêu chuẩn đảm bảo an toàn trong suốt quá trình phẫu thuật.
Chi phí niềng răng phẫu thuật điều trị khớp cắn chéo
Tương tự những phương pháp điều trị khác, chi phí niềng răng cũng bị chi phối bởi khí cụ niềng và tình trạng răng. Chi phí niềng răng tại Nha khoa Thúy Đức được chúng tôi tổng hợp trong bảng dưới đây, mời bạn tham khảo:
| 
 STT  | 
Phương pháp niềng | Chi phí | 
| 
 1  | 
Mắc cài kim loại Mini Diamond | 30 – 32 triệu | 
| 
 2  | 
Mắc cài kim loại tự động Damon Q2 | 40 – 42 triệu | 
| 3 | Mắc cài sứ Symetri | 
 40 – 42 triệu  | 
| 4 | Mắc cài sứ tự động Damon Clear 2 | 
 50 – 52 triệu  | 
| 5 | Invisalign | 
 50 – 128 triệu  | 
Xem thêm: Chính sách trả góp niềng răng tại Thúy Đức
Một số câu hỏi thường gặp
Nhằm giúp bạn đọc có thêm nhiều thông tin trong điều trị khớp cắn chéo. Nha khoa Thúy Đức đã tổng hợp và giải đáp một số câu hỏi được nhiều người quan tâm nhất dưới đây:
Niềng răng có hết hoàn toàn khớp cắn chéo?
Khớp cắn chéo có thể do răng và do cả cấu trúc xương hàm nên trong một vài trường hợp niềng răng không thể khắc phục hoàn toàn khớp cắn chéo mà cần phối hợp với phẫu thuật chỉnh hình xương hàm.
Trường hợp thứ hai, nếu bác sĩ niềng không có đủ kinh nghiệm, tay nghề chưa vững vàng cũng khó có thể giúp bệnh nhân điều trị hoàn toàn khớp cắn chéo. Điều này lý giải tại sao việc chọn nha khoa hay chính xác hơn là bác sĩ niềng răng rất quan trọng.

Phương pháp niềng nào điều trị khớp cắn chéo hiệu quả nhất?
Mỗi phương pháp niềng đều có những ưu nhược điểm riêng. Tùy thuộc vào nhu cầu của mỗi khách hàng để lựa chọn phương pháp niềng phù hợp.
Xét về hiệu quả, một ca niềng thành công sẽ phụ thuộc nhiều vào tay nghề, phác đồ của bác sĩ hơn là loại khí cụ. Mắc cài, dây cung hay khay niềng trong suốt đều là phương tiện để bác sĩ nắn chỉnh răng. Do đó, để niềng răng đem lại hiệu quả, an toàn và tối ưu nhất bạn nên lựa chọn bác sĩ có kinh nghiệm, đã điều trị thành công cho nhiều trường hợp tương tự.

Tại Nha khoa Thúy Đức, tất cả khách hàng khi tới thăm khám đều được tư vấn trực tiếp bởi bác sĩ Phạm Hồng Đức AAO – bác sĩ có kinh nghiệm điều trị hơn 7000 ca chỉnh nha thành công. Để được tư vấn và đặt lịch hẹn với bác sĩ Đức, vui lòng liên hệ theo thông tin dưới đây:
NHA KHOA THUÝ ĐỨC – BÁC SĨ ĐỨC AAO
Địa chỉ: Số 64 Phố Vọng, phường Bạch Mai, Hà Nội.
Liên hệ: 093.186.3366 – 096.3614.566
Website: https://nhakhoathuyduc.com.vn/

