Khớp cắn đối đầu là một trong những tình trạng khớp cắn phổ biến, thường gặp ở người trưởng thành và cả trẻ em. Trong bài viết này, cùng chúng tôi tìm hiểu về tình trạng này và phương pháp điều trị phù hợp nhé!

Mục lục
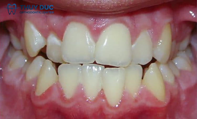
Khớp cắn đối đầu là gì?
Khớp cắn đối đầu hay khớp cắn còn được gọi là khớp cắn đối đỉnh là một dạng sai lệch khớp cắn có liên quan đến cả hai hàm. Khi ở trạng thái nghỉ hàm trên không bao trùm lên hàm trước mà 2 nhóm răng ở hai chạm vào nhau.
Khớp cắn đối đầu có thể được thể hiện ở một nhóm răng cửa hoặc chỉ ở một vài chiếc răng. Trong nhiều trường hợp, khớp cắn đối đầu còn bị nhầm lẫn với khớp cắn chuẩn.
Nguyên nhân gây khớp cắn đối đầu
Vậy đâu là nguyên nhân dẫn đến tình trạng khớp cắn đối đầu? Theo các nghiên cứu chuyên khoa khớp cắn đối đầu do các nguyên nhân dưới đây:
Di truyền
Nhiều trường hợp khớp cắn đối đầu có thể do yếu tố di truyền, tức là được thừa hưởng từ cha mẹ hoặc các thành viên trong gia đình có tình trạng tương tự.
Phát triển hàm và răng không đồng đều
Khi quá trình phát triển hàm và răng diễn ra không đồng đều, các răng có thể không cắn vào nhau một cách chính xác, dẫn đến khớp cắn đối đầu.

Thói quen xấu từ nhỏ
Những thói quen như mút ngón tay, ngậm núm ti hoặc dùng bình sữa lâu dài có thể làm thay đổi cấu trúc của hàm và răng, gây ra khớp cắn đối đầu.
Mất răng
Tình trạng mất răng mà không được thay thế hoặc mất răng không đồng đều có thể tạo ra khoảng trống giữa các răng, dẫn đến sự sai lệch trong khớp cắn.
Do các tổn thương và phẫu thuật liên quan đến vùng mặt
Các chấn thương hoặc phẫu thuật trong khu vực miệng và hàm có thể gây ra thay đổi trong khớp cắn. Và đây cũng là một trong những nguyên nhân dẫn đến khớp cắn đối đầu.
Ảnh hưởng của khớp cắn đối đầu
Dù là nguyên nhân nào thì khớp cắn đối đầu vẫn cần được điều trị sớm nếu không có thể dẫn đến một số ảnh hưởng sau:
So với những sai lệch khớp cắn khác, khớp cắn đối đầu thường bị nhầm lẫn với khớp cắn chuẩn, do đó thường bị bỏ qua hoặc không được phát hiện sớm. Điều này sẽ ảnh hưởng không nhỏ đến sức khỏe răng miệng. Những ảnh hưởng này ban đầu có thể chỉ biểu hiện rất nhẹ, không ảnh hưởng quá nhiều đến sinh hoạt nên nhiều người có tâm lý chủ quan không điều trị ngay. Tuy nhiên, sau một thời gian không được điều trị có thể dẫn đến những nguy cơ như sau:
Ảnh hưởng đến thẩm mỹ
Những chiếc răng cửa đối đầu thường xuyên va chạm vào nhau khi ăn nhai thức ăn hoặc khi nói chuyện lâu dần sẽ bị mòn men răng, răng mẻ làm mất đi hình thái của răng. Điều này ảnh hưởng rất nhiều đến thẩm mỹ của răng cũng như tổng quan chung gương mặt. Một số người còn cảm thấy tự ti vì răng của mình không được hoàn hảo.

Ảnh hưởng đến chức năng ăn nhai
Khớp cắn ảnh hưởng trực tiếp đến chức năng nhai của chúng ta, do đó, nếu khớp cắn không chuẩn có thể khiến chức năng ăn nhai không được hoạt động tốt.
Nếu tình trạng này diễn ra lâu ngày, khớp hàm bị cứng và mỏi khi ăn nhai do 2 hàm khít với nhau. Bên cạnh đó, hai hàm khít với nhau còn làm cho thức ăn không được nghiền nát hay còn gọi là tình trạng giảm khả năng ăn nhai và dẫn đến các bệnh lý về tiêu hóa như đau dạ dày hay tá tràng,…
Dẫn đến một số bệnh lý về răng miệng
Cũng vì nguyên nhân trên khi men răng bị bào mòn quá nhiều sẽ khiến răng trở nên nhạy cảm và dễ bị tổn thương hơn, đặc biệt là khi có vi khuẩn tấn công, răng khó có thể chống lại và dẫn đến các bệnh lý về răng miệng như sâu răng, răng ê buốt. Ngoài ra, răng còn dễ bị vỡ, nứt, mẻ hơn so với những răng khỏe mạnh.

Điều trị khớp cắn đối đầu
Vì những ảnh hưởng trên mà việc điều trị khớp cắn đối đầu là rất cần thiết và cần được điều trị càng sớm càng tốt. Điều trị khớp cắn đúng phương pháp và đúng thời điểm sẽ giúp giảm các tác hại và còn giúp kết quả điều trị được tối ưu hơn.
Vậy có những phương pháp nào có thể điều trị khớp cắn đối đầu. Thực tế, có 2 phương pháp có thể điều trị khớp cắn đối đầu đó là bọc răng sứ và niềng răng. Trong đó, mỗi phương pháp đều có những ưu nhược điểm riêng và ứng dụng vào từng trường hợp khác nhau. Cụ thể như sau:
Bọc răng sứ
Đối với trường hợp đối đầu nhẹ và trung bình, nếu khoảng cách giữa các răng vừa đủ và không có bệnh lý răng miệng thì sau khi thăm khám, bác sĩ sẽ quyết định có thể áp dụng phương pháp này hay không.
Sau khi tiến hành thăm khám các bác sĩ sẽ tiến hành mài bớt cấu trúc răng để tạo trụ, sau đó lấy dấu và thiết kế mão sứ. Tiếp đó tiến hành lắp mão sứ lên trên trụ răng. Phương pháp này không chỉ khắc phục được tình trạng khớp cắn đối đầu mà còn cải thiện được màu sắc và hình thái của răng.

Với phương pháp này, bạn có thể nhận được những ưu điểm như sau:
- Thời gian thực hiện và phục hồi nhanh chóng chỉ trong một vài giờ.
- Độ chịu lực khi ăn nhai của răng sứ khá tốt (gấp 3 – 4 lần răng thật) nên bạn hoàn toàn có thể ăn nhai thoải mái.
- Độ bền cao, có thể lên đến 15 – 20 năm nếu được phục hình đúng cách và có chế độ chăm sóc hợp lý.
Tuy nhiên, bọc sứ chỉ phù hợp với khớp cắn đối đầu nhẹ và răng thật buộc phải mài bớt để tạo (tỷ lệ mài không quá 2mm). Do đó, nếu tình trạng nặng hơn hoặc răng bị mài nhiều hơn thì chưa phù hợp với phương pháp này.
Hỏi đáp: Tổng chi phí trọn gói khi làm răng sứ là bao nhiêu?
Niềng răng
Niềng răng là phương pháp nắn chỉnh răng được nhiều người lựa chọn hiện nay. Không chỉ có thể khắc phục được các vấn đề sai lệch của răng như chìa, khấp khểnh hay răng mọc chen chúc mà còn có thể điều trị hiệu quả các vấn đề về khớp cắn. Trong đó có tình trạng khớp cắn ngược. Vậy điều trị khớp cắn ngược bằng niềng răng như thế nào?
Niềng răng sử dụng kéo, siết của các khí cụ hoặc khay niềng để nắn chỉnh răng về đúng vị trí trên cung hàm. Ngoài ra, bác sĩ còn có thể kết hợp hợp thêm một số khí cụ đặc biệt để nới rộng cung hàm, điều chỉnh khớp cắn như: nong hàm, cục nâng khớp, hàm facemask,…
Có thể bạn muốn biết: Niềng răng có bị lệch mặt không?

Đối với tình trạng khớp cắn đối đầu, bạn có thể tham khảo một số phương pháp niềng như sau:
Niềng răng mắc cài truyền thống
Là một phương pháp niềng truyền thống, sử dụng các loại khí cụ bằng kim loại bao gồm mắc cài, dây cung, minivis, bands để nắn chỉnh răng. Phương pháp phù hợp với nhiều tình trạng răng trong đó có tình trạng khớp cắn đối đầu.
Niềng răng mắc cài tự động
Tương tự với phương pháp trên, mắc cài tự động cũng có 2 loại đó là mắc cài kim loại và mắc cài sứ. Với cấu tạo và chức năng tương tự với loại mắc cài, tuy nhiên phần chun buộc được thay thế bởi mắc cài có sẵn nắp kéo. Theo một vài ý kiến, mắc cài tự động có thể rút ngắn thời gian điều trị hơn so với loại mắc cài buộc chun.

Cũng vì điều này, niềng răng mắc cài tự động thường có chi phí cao hơn từ 5-10 triệu đồng.
Niềng răng trong suốt Invisalign
Đây là phương pháp hiện đại nhất hiện nay. Với khay niềng trong suốt được làm bằng chất liệu nhựa cao cấp có thể thay thế cho hệ thống và dây cung.
Niềng răng trong suốt có thể khắc phục được hầu hết các nhược điểm của niềng răng mắc cài thông thường như: tính thẩm mỹ tốt hơn, không vướng víu, tái khám ít hơn, dễ dàng vệ sinh răng miệng hơn, có thể áp dụng cho cả những trường hợp răng phức tạp.

Dù là phương pháp nào thì điều quan trọng nhất trong điều trị đó là tìm được một bác sĩ có tay nghề và có kinh nghiệm trong điều trị các trường hợp tương tự.
Hỏi đáp: Phải đeo niềng răng bao lâu thì được tháo niềng?
Nếu còn băn khoăn lựa chọn một nha khoa niềng răng uy tín, chất lượng tại khu vực Hà Nội thì Nha khoa Thúy Đức sẽ là một sự lựa chọn mà bạn không nên bỏ qua. Ngay dưới đây, bài viết xin thông tin đến bạn dịch vụ niềng răng tại nha khoa, mời bạn cùng tham khảo:
Niềng răng khớp cắn đối đầu tại Nha khoa Thúy Đức
Niềng răng với bác sĩ Phạm Hồng Đức – Hiệp hội chỉnh nha Hoa Kỳ AAO
Khi niềng răng tại Nha khoa Thúy Đức, bạn có thể hoàn toàn yên tâm vì đều được tư vấn và điều trị trực tiếp bởi bác sĩ Phạm Hồng Đức. Bác sĩ Đức được chính hãng Invisalign đánh giá là bác sĩ top 1 ở Việt Nam và top 3 khu vực Đông Nam Á về chuyên môn niềng Invisalign. Ngoài ra, bác sĩ Đức cũng đạt được những thành tựu nổi bật như sau:
- Là thành viên thuộc Hiệp hội chỉnh nha Hoa Kỳ AAO
- Bác sĩ đầu tiên tại Việt Nam đạt thứ hạng Diamond Invisalign (niềng răng trong suốt) năm 2021
- Là một trong ít chuyên gia Invisalign (Invisalign Expert) được công nhận tại Đông Nam Á
- Một trong 3 bác sĩ sử dụng hệ thống mắc cài tự động Damon thành công nhất Việt Nam
- Bác sĩ thuộc Hiệp hội nắn chỉnh răng thế giới IAO, Hiệp hội chỉnh nha thế giới WFO
- Dịch giả của những cuốn sách chỉnh nha nổi tiếng như 1001 bí kíp lâm sàng trong chỉnh nha (2015), Các ca lâm sàng trong chỉnh nha (2015), Cơ sinh học trong chỉnh nha (2016),…
- Đã có kinh nghiệm điều trị hàng ngàn ca chỉnh nha, được coi là một trong những bác sĩ có số lượng khách hàng niềng răng lớn nhất Hà Nội.

Quy trình niềng răng tại Nha khoa Thúy Đức
Bước 1: Khám tổng quát và tư vấn
Khách hàng sẽ được khám tổng quan, chụp X-quang răng để phát hiện sâu răng, răng mọc ngầm và các bệnh lý khác…
Bước 2: Lên phác đồ điều trị
Dựa trên kết quả khám tổng quát và phim chụp X-quang, bác sĩ Đức sẽ trực tiếp lên phác đồ điều trị phù hợp và tối ưu nhất với từng tình trạng của khách hàng.
Bước 3: Ký kết hợp đồng sử dụng dịch vụ
Khách hàng được ký hợp đồng để đảm bảo quyền và lợi ích của mình trong suốt quá trình điều trị.
Bước 4: Về sinh răng và lấy dấu hàm
Trước khi niềng răng, khách hàng sẽ được vệ sinh răng miệng sạch sẽ, lấy cao răng… và lấy mẫu dấu hàm để lưu trữ.
Bước 5: Gắn mắc cài
Bác sĩ sẽ gắn mắc cài lên răng của khách hàng dựa trên phác đồ đã lên từ trước.
Bước 6: Tái khám định kỳ
Khoảng 3 – 4 tuần, khách hàng cần đến tái khám một lần để bác sĩ kiểm tra tiến độ niềng răng, thay dây cung, mắc cài (nếu cần). Đồng thời có những thay đổi phù hợp để răng dịch chuyển đúng lộ trình.
Bước 7: Kết thúc niềng và đeo hàm duy trì
Kết thúc quá trình chỉnh nha, khách hàng được tháo niềng sau đó được chỉ định đeo hàm duy trì để tránh cho răng chạy lại, răng xô lệch,…

Kết quả niềng răng khớp cắn đối đầu tại Nha khoa Thúy Đức
Mời bạn tham khảo một số trường hợp niềng răng khớp cắn đối đầu được điều trị tại Thúy Đức dưới đây:


Để được tư vấn nhiều hơn về niềng răng mời bạn liên hệ đến Nha khoa Thúy Đức theo những thông tin sau:
NHA KHOA THUÝ ĐỨC – BÁC SĨ ĐỨC AAO
Địa chỉ: Số 64 Phố Vọng, phường Bạch Mai, Hà Nội.
Liên hệ: 093.186.3366 – 096.3614.566
Website: https://nhakhoathuyduc.com.vn/

