Khớp cắn hở là một trong những dạng sai khớp cắn nghiêm trọng ảnh hưởng lớn tới thẩm mỹ gương mặt cũng như chức năng ăn nhai. Chính vì vậy việc điều trị khớp cắn hở là rất cần thiết để bảo vệ sức khỏe răng miệng cũng như cải thiện thẩm mỹ. Trong bài viết này chúng ta sẽ cùng đi tìm hiểu chi tiết về nguyên nhân, đặc điểm và cách khắc phục khớp cắn hở. Cùng theo dõi bài viết này nhé!

Mục lục
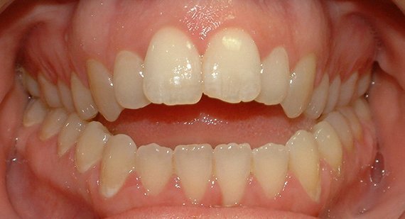
Khớp cắn hở là gì?
Khớp cắn hở là một dạng sai khớp nặng, biểu hiện của người bị khớp cắn hở là nhóm răng trước của hai hàm không chạm nhau, có thể nhìn thấy đầu lưỡi qua khe hở khi giao tiếp, có những trường hợp bị khớp cắn hở sau thì nhóm răng hàm không thể chạm vào nhau.
Bạn có thể nhận biết trường hợp khớp cắn hở dựa trên những đặc điểm như sau:
- Nhóm răng thuộc cả hai hàm (răng cửa chính, răng cửa phụ, răng nanh) đều không thể cắn chạm đến nhau được, tạo ra những khoảng hở.
- Cung răng cửa hàm trên thường có dạng chữ V úp ngược
- Răng hàm không thể cắn chạm vào nhau
- Tương quan giữa trán, mũi, cằm bình thường nhưng trong trường hợp hô thì sự tương quan sẽ thay đổi. Những người khớp cắn hở thường gặp khó khăn trong việc cắn xé thức ăn, nên chỉnh nha sớm để làm mất khoảng hở này.
Có thể nói hầu hết những người bị khớp cắn hở đều có thể dễ dàng phát hiện nếu xuất hiện khoảng hở giữa các răng khi cắn chặt. Tuy nhiên đôi khi không xuất hiện khoảng hở giữa các răng khi cắn chặt, nhưng vẫn là tình trạng khớp cắn hở (có thể do xương), vì thế cần tới trực tiếp nha khoa thăm khám và phân tích bởi bác sĩ chuyên chỉnh nha mới có thể phát hiện được.
Nguyên nhân, phân loại các dạng khớp cắn hở
Có rất nhiều nguyên nhân gây ra khớp cắn hở, có thể do sự phát triển bất thường của xương liên quan tới yếu tố gen, do tư thế hàm sai, tác nhân từ môi trường,… Những yếu tố này có thể phối hợp lại và làm cho tình trạng khớp cắn hở nghiêm trọng hơn.
Khớp cắn hở có thể được chia thành hai nhóm chính dựa vào nguyên nhân gây ra tình trạng như sau:
- Cắn hở do răng: Người bị trường hợp này do hồi nhỏ có tật đẩy lưỡi hay mút ngón tay, cắn bút, sử dụng núm vú giả, thở miệng. Tật này làm khẩu hình miệng bị biến dạng dẫn đến cắn hở.
- Cắn hở do xương: Trường hợp này thường do yếu tố di truyền từ ông bà, bố mẹ. Nó có thể kết hợp thêm với những thói quen xấu hồi nhỏ làm cho tình trạng khớp cắn hở trở nên nghiêm trọng hơn.
Ngoài ra khớp cắn hở còn được chia thành 2 loại khác đó là:
- Khớp cắn hở trước: Là tình trạng nhóm các răng cửa hàm trên không chạm được vào nhóm các răng cửa hàm dưới ngay cả khi ở trạng thái bình thường.
- Khớp cắn hở sau: Là tình trạng nhóm các răng hàm không chạm vào nhau ngay cả khi ở trạng thái bình thường.

Tác hại của khớp cắn hở
Trong các loại sai khớp cắn thì khớp cắn hở được đánh giá là có mức độ ảnh hưởng lớn tới các chức năng ăn nhai và thẩm mỹ của khuôn mặt.
- Ăn nhai khó khăn: Do hai hàm không chạm được ở vị trí răng cửa vì thế việc cắn xé thức ăn sẽ vô cùng khó khăn. Lúc này răng hàm sẽ phải đảm nhiệm nhiều hơn nhiệm vụ ăn nhai, lâu ngày sẽ bị quá tải gây nguy hại cho hàm răng.
- Mất thẩm mỹ gương mặt: Khi giao tiếp bị hở lưỡi gây mất thẩm mỹ,khiến người bị khớp cắn hở tự ti. Đặc biệt nếu khớp cắn hở biến thể sang vẩu sẽ làm cho nụ cười trở nên kém duyên hơn.
- Gây ra các bệnh lý nguy hiểm: Theo một nghiên cứu của Williamson trên 304 người bị khớp cắn hở thì có tới 72% trong số đó có các triệu chứng rối lọai khớp thái dương hàm. Mặc dù khớp cắn hở không phải là nguyên nhân trực tiếp dẫn tới bệnh lý khớp thái dương hàm nhưng nó là một nguy cơ tiềm ẩn. Bạn cần điều trị chỉnh nha sớm để đưa khớp cắn về vị trí chuẩn, từ đó loại bỏ các nguy cơ có hại cho sức khỏe răng miệng và các bệnh lý nguy hiểm khác.
Xem thêm: Nhìn tướng răng cửa đoán vận mệnh, tính cách của bạn
Phương pháp điều trị khớp cắn hở
Khớp cắn hở có thể gặp ở cả giai đoạn răng sữa, răng hỗn hợp và răng vĩnh viễn. Nếu trẻ xuất hiện tình trạng khớp cắn hở ngay từ giai đoạn răng sữa mà không được phát hiện và điều trị kịp thời thì tình trạng này sẽ tiếp tục duy trì và sẽ ngày càng nặng hơn khi trẻ lớn.
Các phương pháp điều trị khớp cắn hở có thể phân thành 3 nhóm chính như nhau:
Thứ 1: Phương pháp điều trị dự phòng
Phương pháp này áp dụng đối với những trẻ còn nhỏ, có những thói quen xấu ở miệng tuy nhiên vẫn chưa gây ra những sai lệch trên khớp cắn. Mục đích là để kiểm soát và khắc phục những thói quen xấu của trẻ từ đó giúp răng mọc ở vị trí bình thường.

Thứ 2: Điều trị chỉnh nha
Với trẻ đang trong độ tuổi tăng trưởng xương từ 5 – 10 tuổi: Sử dụng các khí cụ chỉnh nha để can thiệp vào quá trình mọc răng, đặc biệt là với nhóm răng hàm phía sau từ đó kiểm soát sự tăng trưởng kích thước dọc, thay đổi hướng tăng trưởng của xương về tình trạng bình thường.
Giai đoạn này còn được gọi là tiền chỉnh nha. Có rất nhiều phương pháp tiền chỉnh nha trong đó Invisalign First là phương pháp hiện đại nhất, giúp trẻ luôn thoải mái tự tin và mang lại hiệu quả cao.
Lợi ích niềng răng Invisalign First:
- Ngăn ngừa không cho vấn đề về khớp cắn hở hiện tại trở nên tệ hơn
- Sắp đều các răng hiện tại
- Cải thiện nụ cười của trẻ
- Chỉnh sửa các thói quen sai như mút ngón tay, đẩy lưỡi,…
- Giúp thời gian điều trị giai đoạn 2 ngắn và đơn giản hơn
Với trường hợp trẻ đang trong độ tuổi tăng trưởng xương từ 11 – 16 tuổi và những người đã ngừng tăng trưởng xương
Mục tiêu: Sử dụng khí cụ chỉnh nha để điều chỉnh lại khớp cắn, đưa chúng về vị trí đúng. Tuy nhiên mặc dù chỉnh nha có thể điều trị được vấn đề khớp cắn hở, tuy nhiên cần nghe theo bác sĩ loại bỏ các thói quen xấu ngay từ khi bắt đầu điều trị, trong quá trình điều trị và cả khi kết thúc điều trị để đạt được kết quả như mong muốn, duy trì hiệu quả lâu dài về sau.
Bác sĩ có thể sử dụng hệ thống mắc cài, dây cung, khay niềng chuyên dụng để sắp xếp lại răng, đưa răng về vị trí đúng, khớp cắn chuẩn. Dưới đây là 3 phương pháp niềng răng phổ biến.
Niềng răng mắc cài kim loại

Niềng răng mắc cài kim loại là phương pháp đã tồn tại từ lâu đời và có hiệu quả cao. Mắc cài được làm từ chất liệu hợp kim không gỉ như Niken – Titanium nên độ bền cứng, chắc cao, tác dụng đều và ổn định.
Có 2 loại mắc cài kim loại được sử dụng phổ biến hiện nay là mắc cài kim loại truyền thống và mắc cài kim loại tự buộc.
Mắc cài kim loại truyền thống sử dụng mắc cài gắn cố định trên răng, dây cung nằm cố định trong rãnh mắc cài nhờ hệ thống thun buộc cố định. Dây thun có độ đàn hồi từ đó giúp quá trình chỉnh răng diễn ra liên tục và đạt được hiệu quả như mong muốn.
Ưu điểm: Giá cả hợp lý, hiệu quả cao
Nhược điểm:
- Có thể gây tổn thương các mô mềm trong khoang miệng
- Gây đau, khó chịu hơn
- Tính thẩm mỹ kém nhất trong các loại mắc cài
Mắc cài kim loại tự động được cải tiến từ mắc cài truyền thống. Thay vì sử dụng thun, mắc cài tự buộc có hệ thống chốt tự động giúp dây cung trượt tự do trong rãnh mắc cài, đảm bảo cho quá trình chỉnh nha diễn ra liên tục, hạn chế tình trạng thun bị giãn hoặc bung tuột làm ảnh hưởng tới quá trình niềng răng.
Ưu điểm:
- Thời gian niềng nhanh hơn
- Ít số lần tái khám định kỳ hơn mắc cài truyền thống
- Giảm tình trạng bung, tuột mắc cài
- Vệ sinh dễ dàng với thiết kế bo tròn
- Giảm đau nhức khi đeo
- Tính thẩm mỹ cao hơn mắc cài kim loại truyền thống
Nhược điểm:
- Giá thành cao hơn mắc cài kim loại truyền thống
- Tính thẩm mỹ thấp hơn các loại mắc cài sứ
Niềng răng mắc cài sứ
Tương tự như mắc cài kim loại truyền thống, mắc cài sứ cũng có hai loại là mắc cài sứ tự động và mắc cài sứ truyền thống, nhưng chất liệu mắc cài là sứ có tính thẩm mỹ cao hơn.
Ưu điểm: Tính thẩm mỹ cao, tự tin khi đeo niềng
Nhược điểm: Giá thành cao hơn mắc cài kim loại truyền thống, dày hơn mắc cài kim loại
Niềng răng trong suốt Invisalign

Niềng răng trong suốt là công nghệ niềng răng hiện đại nhất hiện nay, sử dụng các khay niềng trong suốt từ từ thay đổi cấu trúc răng, đưa răng về lại đúng vị trí. Đây là phương pháp niềng có tính thẩm mỹ cao nhất, rất khó để phát hiện ra bạn đang niềng răng.
Tại Thúy Đức sử dụng công nghệ niềng răng Invisalign của Hoa Kỳ với khay niềng làm từ vật liệu SmartTrack mềm dẻo, ôm khít chân răng giúp răng dịch chuyển được chính xác và hiệu quả cao. Bên cạnh đó còn tạo lực đẩy nhẹ nhàng và liên tục giúp quá trình niềng răng thoải mái và không đau.
Riêng với đối tượng thanh thiếu niên sẽ sử dụng khay niềng Invisalign với những tính năng dành riêng cho Teen đó là: tạo chỗ cho răng mọc, chỉ số theo dõi và tính năng M.A – trượt hàm dưới ra trước.
Phẫu thuật điều trị khớp cắn hở
Phương pháp này chỉ áp dụng với trường hợp đã ngừng tăng trường xương, có những sai lệch về xương quá nặng làm cho khung xương mặt bị biến dạng, gây ảnh hưởng nghiêm trọng tới thẩm mỹ, chức năng ăn nhai mà nếu chỉ chỉnh nha không sẽ không thể giải quyết được.
Khi điều trị bằng phương pháp phẫu thuật, bác sĩ vẫn sẽ có thể chỉ định kết hợp cùng với chỉnh nha để đạt được hiệu quả tốt nhất.
Địa chỉ niềng răng khớp cắn hở uy tín tại Hà Nội
Để điều trị dứt điểm tình trạng khớp cắn hở, bạn cần lựa chọn được địa chỉ nha khoa uy tín, bác sĩ có kinh nghiệm, tay nghề cao. Nha khoa Thúy Đức hiện là một trong những địa chỉ niềng răng được nhiều người tin tưởng nhất hiện nay với hơn 7000 ca niềng răng thành công.
Được điều trị trực tiếp bởi chuyên gia chỉnh nha Phạm Hồng Đức

- Bác sĩ Đức được hãng Invisalign đánh giá là bác sĩ TOP 1 tại Đông Nam Á và TOP 1 về kinh nghiệm, chuyên môn tại Việt Nam
- Bác sĩ đầu tiên tại Châu Á đạt thứ hạng Red Diamond trên bản đồ Invisalign toàn cầu
- Bác sĩ có số lượng khách hàng niềng Invisalign nhiều nhất Việt Nam năm 2021
- Bác sĩ thuộc Hiệp hội chỉnh nha Hoa Kỳ AAO
- Bác sĩ thuộc Hiệp hội nắn chỉnh răng thế giới IAO, Hiệp hội chỉnh nha thế giới WFO
- Dịch giả của những cuốn sách chỉnh nha nổi tiếng như 1001 bí kíp lâm sàng trong chỉnh nha (2015), Các ca lâm sàng trong chỉnh nha (2015), Cơ sinh học trong chỉnh nha (2016),…
- Bác sĩ Đức đã có kinh nghiệm điều trị hơn 7000 ca chỉnh nha, được coi là một trong những bác sĩ có số lượng KH niềng răng lớn nhất Hà Nội.
- Là người đầu tiên đưa phương pháp Niềng không nhổ răng F.A.C.E từ nước ngoài về ứng dụng tại Việt Nam, giúp hạn chế tối đa việc nhổ răng thậm chí không cần nhổ răng mà vẫn mang lại hiệu quả điều trị cao nhất.
Phòng khám đầu tiên tại ĐNA sở hữu máy quét dấu răng iTero 5D Plus hiện đại nhất trên thế giới
- Nha khoa Thúy Đức là phòng khám đầu tiên tại ĐNA đầu tư máy quét dấu răng iTero 5D Plus hiện đại nhất trên thế giới, có thể cho kết quả niềng răng chỉ sau 60s, phát hiện được nhanh chóng các vấn đề về bệnh lý.
- Là phòng khám duy nhất tại Việt Nam không ngừng cập nhật các phiên bản mắc cài thông minh Damon đời mới nhất nhằm mang tới hiệu quả tốt nhất cho khách hàng.
- Có máy chụp X-quang Vatech Pax-i, máy nhổ răng khôn bằng sóng siêu âm Piezotome,…
Chính sách trả góp linh hoạt, lãi suất 0%
- Bạn có thể thanh toán theo hình thức trả góp, trả trước từ 30 – 50% chi phí niềng răng, số còn lại trả nốt trong vòng từ 6 – 12 tháng, lãi suất 0%.
- Có hợp đồng niềng răng để bảo vệ quyền lợi của khách hàng
Trên đây là những thông tin về khớp cắn hở và cách điều trị. Nếu bạn nhận thấy mình có những đặc điểm bị khớp cắn hở, hãy tới ngay nha khoa uy tín để được thăm khám và có phương pháp điều trị kịp thời nhé!

