Men răng là lớp ngoài cùng bảo vệ răng, có vai trò rất lớn đối với sức khỏe răng miệng. Trong bài viết này chúng ta cùng tìm hiểu nhiều thông tin thú vị về men răng và cách bảo vệ men răng luôn khỏe mạnh nhé!

Mục lục
Men răng là gì?
Men răng là lớp men khoáng chất, đóng vai trò quan trọng trong việc bảo vệ răng khỏi tác động của thức ăn và vi khuẩn. Được tạo thành từ hydroxyapatite và fluoroapatit, men răng chính là lớp bảo vệ vững chắc, giúp ngăn chặn sự mòn và tổn thương của răng. Đây là mô cứng nhất trong cơ thể con người.
– Về cấu tạo/thành phần: Bao gồm hydroxyapatite, protein, nước, fluoride và các khoáng chất khác, lớp protein cứng.
– Độ dày: Không đồng nhất tùy theo mặt răng, trong đó bề mặt nhai có độ dày nhất khoảng 1 – 3mm, răng cửa có men răng mỏng nhất.
– Độ cứng: Men răng là mô xương cứng nhất trong cơ thể, nhưng lại được cấu tạo từ các tế bào hình lăng trụ theo chiều đứng và hướng tâm nên dễ bị nứt vỡ.
– Màu sắc: Men răng không có màu, mà chỉ trong suốt (ánh một chút xanh xám – vàng nhạt) nên màu của răng thực chất là màu của lớp ngà răng bên trong.
– Đặc tính: Giòn và dễ nứt khi có va chạm mạnh.

Quá trình hình thành men răng
Men răng được tạo ra trong quá trình hình thành răng bởi các tế bào chuyên biệt gọi là ameloblasts (hay còn thường được gọi là nguyên bào men). Khi quá trình hình thành răng hoàn tất, những tế bào này sẽ chết đi. Do đó, cơ thể không có cách nào để sửa chữa hoặc tái tạo men răng bị tổn thương và răng có thể dễ bị gãy hoặc rụng.
Men răng có vai trò như thế nào?
Vậy men răng có vai trò như thế nào đối với sức khỏe răng miệng? Hai vai trò chính của men răng đó là:
Bảo vệ răng
Men răng là lớp ngoài cùng, bảo vệ các bộ phận nhạy cảm bên trong của răng khỏi các tác nhân gây hại như nhiệt độ, áp lực, axit, vi khuẩn… Từ đó giúp răng luôn khỏe mạnh, chắc khỏe.
Đảm bảo tính thẩm mỹ răng miệng
Dù không phải là yếu tố trực tiếp quyết định đến màu sắc của răng nhưng khi lớp men răng được chăm sóc và bảo vệ kỹ càng, răng sẽ sáng bóng tạo cảm giác thu hút và đẹp mắt hơn.

Các yếu tố ảnh hưởng đến men răng
Để bảo vệ men răng tốt hơn chúng ta cần nhận biết được những yếu tố tác động xấu đến men răng. Những tác nhân sau sẽ làm men răng của chúng ta yếu đi:
Axit có trong thức ăn
Trong thực đơn thức ăn của chúng ta không thể không thiếu thành phần tinh bột. Mà lượng tinh bột quá nhiều khi ăn vào bị vướng mắc lại các kẽ răng sẽ kết hợp với vi khuẩn tạo ra các loại axit và những axit này thường làm mòn, phá hủy men răng.
Vì thế, giữ vệ sinh răng miệng sẽ hạn chế sự hình thành và làm sạch các mảng bám (cao răng) trên mặt và ở các hốc răng, giảm bớt số vi khuẩn ẩn nấp trong các mảng bám. Từ đó, giảm nguy cơ tạo ra các axit có hại cho men răng giúp bảo vệ men răng vững chắc.

Lạm dụng Flour
Flour là một chất rất đặc biệt nó có vai trò quan trọng trong quá trình hình thành men răng và bảo vệ răng. Hiện nay một số loại kem đánh răng trên thị trường có thêm thành phần flour có tác dụng giảm sâu răng, giúp răng trắng sáng và chắc khỏe hơn. Tuy nhiên, nếu lạm dụng Flour sẽ đem lại phải ứng ngược lại. Flour tiếp xúc với răng trong thời gian dài với hàm lượng nhiều có thể gây đục men răng, tệ hơn là các vết đốm nâu hoặc đen trên bề mặt răng.
Ngoài sự tiếp xúc với Flour một cách trực tiếp, những loại thuốc có thành phần này khi có tác dụng trên toàn cơ thể cũng có thể là nguyên nhân khiến men răng bị yếu đi.

Răng bị nhiễm kháng sinh
Trong quá trình điều trị các bệnh lý do nhiễm khuẩn, tetracycline hay thuốc kháng sinh là một biện pháp điều trị không thể thiếu. Tuy nhiên, hầu hết mọi người thường có thói quen sử dụng kháng sinh một cách bừa bãi, ngay cả khi có sự chỉ định của bác sĩ. Do đó, răng sẽ xuất hiện hiện tượng bị xỉn đi, đó là khi men răng bị ảnh hưởng bởi tetracycline.
Ngoài ra, người mẹ trong quá trình mang thai sử dụng nhiều kháng sinh cũng ảnh hưởng khá nhiều đến hàm răng của em bé sau này. Do đó, cần tránh sử dụng kháng sinh cho những đối tượng này.

Các thói quen trong sinh hoạt khác
Ngoài những nguyên nhân kể trên men răng còn chịu ảnh hưởng bởi các nguyên nhân thường thấy khác như: thuốc lá, cà phê, trà, thuốc tẩy trắng răng kém chất lượng, đồ ăn cay nóng, lạnh,…
Những tác nhân này thường ảnh hưởng trực tiếp đến men răng, khiến cho men răng yếu đi do mất hàng rào bảo vệ nên dễ bị nhạy cảm hơn khi ăn uống. Còn đối với những ai thường xuyên ăn đồ ăn nóng hoặc lạnh khiến nhiệt độ trong miệng thay đổi đột ngột quá nhiều có thể tăng nguy cơ nứt, vỡ răng.

Trên đây là những yếu tố ảnh hưởng đến răng của chúng ta, để bảo vệ răng luôn chắc khỏe bạn cần tránh xa những thói quen này và áp dụng một số biện pháp chăm sóc và bảo vệ răng miệng mà phần sau của bài viết đề cập dưới đây.
3 bệnh thường gặp về men răng
Men răng dù là bộ phận cứng nhất trên cơ thể con người dù rất chắc chắn nhưng vẫn dễ bị tổn thương nếu như chúng ta không biết cách bảo vệ. Men răng cũng là lớp ngoài cùng bao bọc toàn bộ phần ngà răng và tủy răng bên trong do đó, đây cũng là một bộ phận bị tác động sớm nhất.
Sâu răng
Sâu răng được xem là một bệnh răng miệng khá phổ biến không chỉ ở trẻ em mà cả người lớn. Sâu răng thường xuất hiện do việc vệ sinh răng không được đảm bảo hoặc cũng có những trường hợp người dễ bị sâu răng dù đã chăm sóc tốt.

– Ảnh hưởng: Sâu răng không chỉ ảnh hưởng đến việc ăn uống (gây đau, buốt, nhức răng) mà còn ảnh hưởng đến sức khỏe đặc biệt là ở trẻ em khi dinh dưỡng không được đảm bảo vì khó ăn nhai.
– Biển hiện: Ban đầu là những vết đen nhỏ trên bề mặt hoặc kẽ răng, lâu dần phát triển thành các lỗ lớn hơn. Phần lớn người bị sâu răng bị đau nhức khi đã bước vào giai đoạn nặng hơn, đôi khi còn gặp tình trạng hôi miệng hoặc phần lợi bị đỏ.
– Cách điều trị: Hàn răng hay trám răng sâu chính là phương pháp điều trị sâu răng được sử dụng phổ biến. Phương pháp này có thể áp dụng khi sâu răng đã lan rộng, tuy nhiên chưa ảnh hưởng đến phần tủy răng hoặc răng bị vỡ do sâu quá lớn.
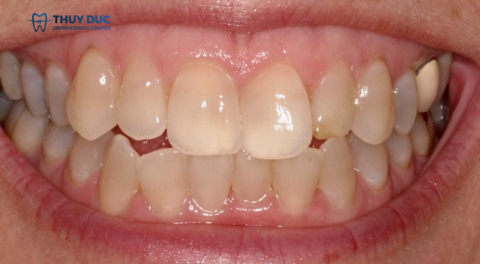
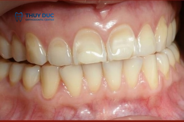
Mòn men răng
Mòn men răng thực chất không phải một bệnh lý nhưng nó lại là nguyên nhân dẫn đến nhiều bệnh lý khác.

– Ảnh hưởng: Răng kém thẩm mỹ, nhạy cảm, dễ mắc các bệnh về răng miệng.
– Biểu hiện: Răng xuất hiện các đốm nâu hoặc trắng, răng tăng nhạy cảm khi ăn đồ ăn nóng lạnh, vết nứt vỡ trên răng, dễ bị sâu răng,…
– Cách điều trị: Men răng một khi bị tổn thương không thể hồi phục được, chỉ có thể bảo vệ răng khỏe lên bằng cách chăm sóc và ăn uống khoa học hơn.
Thiếu sản men răng
Thiếu sản men răng là một bệnh lý có xuất hiện ngay khi còn nhỏ do bị di truyền hoặc xuất hiện trong quá trình sinh hoạt khi đã bước vào độ tuổi trưởng thành. Bệnh này có thể do một trong những nguyên nhân sau: thiếu hụt các chất dinh dưỡng, nhiễm trùng hoặc chấn thương trong quá trình hình thành răng, đánh răng quá mạnh, ăn nhiều đồ uống có chứa axit,…
– Ảnh hưởng: Bệnh ảnh hưởng đến thẩm mỹ, khả năng ăn nhai, răng ê buốt khi ăn, uống đồ lạnh,…
– Cách điều trị: Tùy thuộc vào tình trạng bệnh mà bác sĩ có thể chỉ định một trong các biện pháp điều trị như: bổ sung fluor, trám răng, bọc răng sứ.
Cách chăm sóc và bảo vệ men răng khỏe mạnh
Dưới đây là các biện pháp chăm sóc, bảo vệ men răng luôn khỏe mạnh, chắc khỏe và phòng tránh những bệnh về răng miệng kể trên:
- Chải răng đúng cách và đều đặn ít nhất hai lần một ngày.
- Sử dụng kem đánh răng có chứa fluor để giúp khoáng hoá lại men răng.
- Sử dụng nước súc miệng có chứa xylitol để ngăn ngừa sự phát triển của vi khuẩn gây sâu răng.
- Hạn chế ăn uống các thực phẩm có chứa axit, đường hoặc chất màu như nước ngọt, nước ép hoa quả, kẹo, sô cô la, cà phê, trà…
- Ăn uống đủ chất dinh dưỡng, bổ sung canxi, photpho, vitamin D để tăng cường sức khỏe cho men răng và xương hàm.
- Thăm khám nha khoa định kỳ ít nhất 6 tháng một lần để kiểm tra và điều trị các vấn đề về men răng sớm.
- Thực hiện các phương pháp phục hồi men răng khi cần thiết như trám răng, phủ răng, dán sứ răng…

Hơn hết, bạn cần đến gặp bác sĩ sớm, ngay khi có các dấu hiệu như đau răng, ê buốt, răng có vết đen,… để phát hiện sớm các bệnh về răng miệng ngay khi mới xuất hiện.
Câu hỏi thường gặp
Tẩy trắng răng có làm hỏng men răng không?
Tẩy trắng răng không làm hỏng men răng. Tuy nhiên nếu tẩy trắng quá thường xuyên sẽ làm răng yếu đi, ê buốt và trở nên nhạy cảm. Do vậy, bạn chỉ nên tẩy trắng răng 6 tháng đến 1 năm/ lần và lựa chọn những cơ sở nha khoa uy tín, có máy móc hiện đại để quá trình tẩy trăng răng diễn ra an toàn và nhanh chóng.
Xỉa răng có làm hỏng men răng không?
Các bác sĩ vẫn thường khuyến cáo rằng không nên xỉa răng đặc biệt là tăm tre vì có thể dẫn đến nguy cơ sâu răng. Trên thực tế, xỉa răng không làm hỏng men răng. Xỉa răng chỉ gây hại đến men răng nếu bạn thường xuyên sử dụng tăm tre, lực mạnh vào kẽ răng để lấy thức ăn ra.
Để hạn chế, bạn có thể làm sạch răng bằng cách dùng chỉ nha khoa, bàn chải kẽ hoặc máy tăm nước, nhẹ nhàng làm sạch răng sau mỗi bữa ăn.
Ăn nhiều tinh bột làm hỏng men răng có đúng không?
Ăn nhiều tinh bột có thể gây hại cho men răng, tuy nhiên mức độ gây hại không cao và không phải ai cũng sẽ gặp phải. Nguyên nhân là do: Tinh bột là nguồn thức ăn chính cho vi khuẩn trong miệng, khi chúng tiêu hóa tinh bột, chúng sẽ tạo ra axit. Axit này có thể làm yếu men răng và dẫn đến sự hình thành của sâu răng nếu không được loại bỏ kịp thời.
Vì thế, hãy chú ý làm sạch răng sau khi ăn nhé!
Niềng răng có làm hỏng men răng không?
Niềng răng không làm hỏng men răng. Ngược lại, sau khi răng được nắn chỉnh về đúng vị trí trên cung hàm, khớp cắn chuẩn – khắc phục được tình trạng sai khớp cắn sẽ hạn chế rất nhiều sự tiếp xúc sai lệch của hàm trên và hàm dưới, từ đó giảm thiểu tình trạng mòn men răng do tác động của ma sát.
Như vậy, bài viết đã cùng bạn tìm hiểu men răng là gì và các thông tin mà bạn đang cần tìm kiếm khác. Hy vọng bạn đã có những kiến thức cần thiết để chăm sóc và bảo vệ sức khỏe răng miệng tốt hơn.




