Mòn men răng không phải là một tình trạng hiếm gặp, tuy không gây nguy hiểm nhưng vẫn có phần ảnh hưởng đến sức khỏe. Vậy nguyên nhân gây mòn men răng là do đâu và cách khắc phục tình trạng này như thế nào? Cùng tìm hiểu trong bài viết này nhé!

Mục lục
Men răng là gì?
Trước tiên, cùng tìm hiểu men răng là gì?
Men răng là lớp men khoáng chất, đóng vai trò quan trọng trong việc bảo vệ răng khỏi tác động của thức ăn và vi khuẩn. Được tạo thành từ hydroxyapatit và fluoroapatit, men răng chính là lớp bảo vệ vững chắc, giúp ngăn chặn sự mòn và tổn thương của răng.
Không giống như các bộ phận khác trên cơ thể như xương, tóc hay móng, men răng không có khả năng tự phục hồi. Tuy là mộ bộ phận vô cùng cứng chắc nhưng men răng cũng dễ bị tổn thương do những tác động bên ngoài trong quá trình chúng ta sinh hoạt.

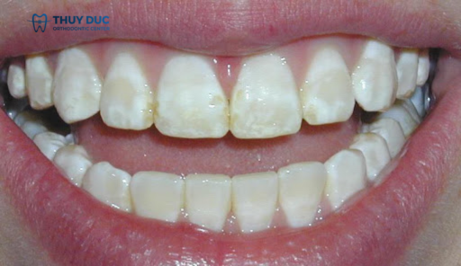
Mòn men răng là quá trình dần mất đi lớp khoáng bề mặt của men răng do tác động của các yếu tố. Dấu hiệu mòn men răng khá đặc trưng và rất dễ để nhận biết. Dưới đây sẽ là những dấu hiệu của mòn men răng mà bạn cần chú ý.
Dấu hiệu mòn men răng
Như đã nói ở phần đầu bài viết, men răng là bộ phận vô cùng cứng chắc bao bọc bên ngoài mỗi chiếc răng. Nó giữ vai trò bảo vệ ngà răng, tủy răng và ngăn cản tác động của nhiệt độ hoặc axit từ thức ăn, khiến cho răng không bị đau nhức, ê buốt. Khi men răng bị mòn chúng ta có thể nhận ra qua các dấu hiệu sau:
- Xuất hiện các đốm trắng hoặc nâu trên răng: Đây thường là những dấu hiệu ban đầu của việc men răng bị mòn, nhưng do những đốm này có kích thước nhỏ nên ít người phát hiện ra.
- Nhạy cảm khi ăn đồ ăn nóng hoặc lạnh: Những loại đồ ăn nóng hoặc lạnh thường khiến răng trở nên nhạy cảm hơn, gây ra những cơn đau, buốt tương đối khó chịu, ảnh hưởng rất nhiều đến việc ăn uống.
- Khó khăn khi ăn: Cũng vì nguyên nhân trên, người bị mòn men răng thường gặp khó khăn trong việc ăn uống, ăn không ngon miệng, không thưởng thức được những món ăn ưa thích.
- Răng bị đổi màu: Lớp men răng bên ngoài mất đi, mòn đi sẽ làm lộ ra phần ngà răng cộng với chế độ ăn uống nên răng có thể bắt đầu ngả vàng nhiều hơn.
- Bề mặt răng trở nên nhẵn và bóng loáng: Ít người biết rằng độ bóng của răng cũng phản ánh sức khỏe của răng. Răng bị mất dần lớp khoáng chất cũng là một dấu hiệu mòn men răng.
- Răng dễ bị sâu hơn: Răng mất đi lớp bảo vệ vững chắc khiến răng dễ bị tổn thương và các vi khuẩn có hại tấn công, dẫn đến sâu răng.
- Xuất hiện các vết nứt vỡ nhỏ trên răng: Khi răng tiếp xúc liên tục với nhau khi nói hoặc khi ăn uống.
Nhận biết dấu hiệu mòn men răng là bước quan trọng để có biện pháp ngăn chặn kịp thời. Vì thế khi có một trong các dấu hiệu trên bạn cần đến gặp bác sĩ để được thăm khám và tư vấn điều trị sớm.
Nguyên nhân dẫn đến mòn men răng
Xác định được nguyên nhân gây mòn men răng chính là biện pháp tốt nhất để phòng tránh tình trạng này xảy ra và bảo vệ sức khỏe răng miệng một cách tốt nhất. Dưới đây là những nguyên nhân dẫn đến hiện tượng men răng bị mòn đi, cùng tìm hiểu để tránh gặp phải nhé!
Chế độ ăn uống không lành mạnh
Ăn nhai chính là một trong những vai trò chính của răng, lớp men răng phải tiếp xúc với thức ăn mỗi ngày. Chính vì thế, chế độ ăn uống không lành mạnh sẽ ảnh hưởng rất lớn đến lớp men răng.
Thức ăn giàu đường và axit là những yếu tố chính dẫn đến mòn men răng. Ngoài ra, chế độ ăn uống không lành mạnh và cách chế biến thực phẩm cũng có thể tăng cường quá trình này.

Chính vì thế, bạn nên duy trì chế độ ăn uống lành mạnh, hạn chế những loại thực phẩm có chứa axit hoặc các chất kích thích, tránh tiêu thụ quá nhiều món ăn quá nóng hoặc quá lạnh như kem, đá lạnh,…
Các thói quen xấu
Ngoài yếu tố từ thực phẩm, men răng còn chịu tác động từ yếu tố vật lý. Chủ yếu đến từ những thói quen xấu như nghiến răng khi ngủ, cắn vật cứng như móng tay, bút, nắp chai,…
Việc lặp đi lặp những hành động trên sẽ khiến men răng không có đủ thời gian để phục hồi, dẫn đến mòn men răng.

Không khám nha khoa định kỳ
Theo như khuyến cáo, chúng ta nên khám nha khoa định kỳ 6 tháng một lần đối với những người có răng khỏe mạnh, còn đối với những người mắc các bệnh lý về răng miệng thì tần suất khám nha cần nhiều hơn. Tuy nhiên, do tâm lý chủ quan, nhiều người không thực hiện khám sức khỏe răng miệng định kỳ, chỉ đến khi răng xuất hiện các dấu hiệu cảnh báo mới đi khám thì lúc đó men răng đã bị tổn thương.
Việc không đến nha khoa định kỳ để làm sạch răng và kiểm tra tình trạng men răng có thể tạo điều kiện thuận lợi cho mòn men răng phát triển. Vì thế, bạn hãy khám nha định kỳ để sớm phát hiện các vấn đề răng miệng nhé!
Thói quen sử dụng thuốc lá và rượu bia
Nicotine từ thuốc lá và thành phần hóa học từ rượu bia có thể gây hại cho men răng, làm tăng nguy cơ mòn men răng. Hạn chế thuốc lá và rượu bia sẽ góp phần không nhỏ trong việc bảo vệ lớp men răng luôn khỏe mạnh.

Do các bệnh lý liên quan khác
Ngoài các nguyên nhân thường thấy ở trên chứng khô miệng/ ít tiết nước bọt (xerostomia) hay bệnh trào ngược dạ dày thực quản (GERD) hoặc chứng ợ nóng cũng là nguyên nhân dẫn đến mòn men răng.
- Nước bọt bảo vệ răng bằng cách phủ một lớp canxi và các khoáng chất quanh răng, đồng thời làm loãng các tác nhân ăn mòn như axit có hại cho răng, bảo vệ răng trước các vi khuẩn.
- Bệnh trào ngược hoặc chứng ợ nóng làm axit trong dạ dày bị đẩy lên miệng khiến lớp men răng dần dần bị mòn đi.
Khắc phục mòn men răng như thế nào?
Mòn men răng tuy không nguy hiểm nhưng có thể là điều kiện gián tiếp dẫn đến các bệnh lý răng miệng khác, do đó, khi được chẩn đoán rơi vào tình trạng này, bạn nên tìm cách khắc phục càng sớm càng tốt. Dưới đây là những biện pháp khắc phục mòn men răng mà bạn có thể tham khảo:
Chăm sóc răng hàng ngày
Đảm bảo răng được đánh sạch đúng cách ít nhất hai lần mỗi ngày với kem đánh răng chứa fluoride. Sử dụng chỉ răng và sợi dental để loại bỏ mảng bám giữa các kẽ răng.

Chế độ ăn uống lành mạnh
Giảm tiêu thụ thức ăn và đồ uống giàu đường, axit. Thêm vào chế độ ăn uống nhiều rau, trái cây và các thực phẩm giàu canxi để hỗ trợ sức khỏe men răng.
Hạn chế thuốc lá và rượu bia
Giảm thiểu hoặc loại bỏ hoàn toàn thói quen hút thuốc lá và rượu bia để giảm áp lực lên men răng và ngăn chặn quá trình mòn.
Kiểm tra nha khoa định kỳ
Hãy gặp nha sĩ ít nhất một lần mỗi 6 tháng để kiểm tra và làm sạch răng chuyên sâu. Nha sĩ có thể phát hiện và xử lý vấn đề men răng kịp thời.

Câu hỏi thường gặp
Các loại thực phẩm nào có thể gây mòn men răng?
Các loại thực phẩm có thể gây mòn men răng là:
- Thực phẩm có đường: Các loại thực phẩm chứa đường, như kẹo, bánh ngọt, và các sản phẩm làm từ đường, khi tiêu thụ quá mức có thể tạo điều kiện cho vi khuẩn gây sâu răng phát triển, gây hại cho men răng.
- Thức ăn và thức uống chứa axit: Thức ăn và thức uống có độ pH thấp như cam, chanh, cà phê, rượu vang có thể gây mòn men răng nếu tiêu thụ quá mức.
- Thực phẩm có chất tạo màu: Thực phẩm có chất tạo màu như nước ngọt có màu, kẹo dẻo có màu sẽ chứa acid và đường, có thể gây hại cho men răng nếu tiêu thụ không kiểm soát.
- Thực phẩm có chất tạo mùi: Thực phẩm chứa chất tạo mùi như kẹo cao su có thể gây ra mòn men răng khi tiêu thụ thường xuyên.

Để bảo vệ men răng, bạn nên hạn chế tiêu thụ các loại thực phẩm và thức uống này, đồng thời duy trì một lịch trình vệ sinh răng miệng đúng cách bao gồm chải răng hàng ngày, sử dụng chỉ nha khoa và đi kiểm tra răng miệng định kỳ.
Các loại thực phẩm nào bảo vệ men răng?
Các nhóm thực phẩm tốt cho răng, bảo vệ men răng là:
- Rau xanh: Rau cải, bóng cỏ, rau cải bắp cải và các loại rau xanh khác chứa nhiều canxi và các khoáng chất khác có thể giúp bảo vệ men răng.
- Sữa và sản phẩm từ sữa: Sữa, phô mai, sữa chua và sữa đậu nành (nếu được bổ sung canxi) là nguồn cung cấp canxi quan trọng cho men răng.
- Các loại hạt: Hạt bí ngô, hạt hướng dương, hạt lúa mạch chứa canxi và khoáng chất có thể giúp bảo vệ men răng.
- Trái cây và rau củ có chứa nhiều nước: Dưa hấu, dưa leo, cà chua, cà rốt và các loại trái cây, rau củ có chứa nhiều nước giúp kích thích sản xuất nước bọt, loại bỏ mảng bám và giữ cho men răng khỏe mạnh.
- Nước uống không đường: Uống nước không có đường thay vì đồ uống có đường có thể giúp rửa sạch men răng và ngăn chặn sự phát triển của vi khuẩn gây hại.
- Trà xanh: Trà xanh chứa polyphenols có khả năng chống vi khuẩn và có thể giúp giảm nguy cơ sâu răng.

Bằng cách bổ sung các loại thực phẩm này vào chế độ ăn uống hàng ngày cùng với việc duy trì một lối sống lành mạnh và chăm sóc răng miệng đúng cách, bạn có thể giúp bảo vệ và củng cố men răng của mình.

