Hiện nay trên thị trường xuất hiện nhiều quảng cáo về dịch vụ niềng răng tại nhà với sự tiện lợi, tiết kiệm chi phí, hiệu quả cao thu hút nhiều người quan tâm. Tuy nhiên thực chất hình thức niềng răng này có đảm bảo chất lượng hay không, độ an toàn như thế nào? Cùng đi tìm hiểu câu trả lời trong bài viết này nhé!

Mục lục
Những phương pháp niềng răng tại nhà thường được sử dụng
Mục đích người dùng tìm mua các dụng cụ niềng răng tại nhà là để tiết kiệm chi phí, thuận tiện trong quá trình sử dụng hơn nữa lại không mất nhiều thời gian thăm khám nha sĩ. Ngoài đặt mua từ các trang mạng xã hội, trang thương mại điện tử thì nhiều người còn lựa chọn tự mình làm dụng cụ niềng răng tại nhà.
Dụng cụ niềng răng tự chế
Niềng răng dây thun
Phương pháp này là phương pháp đơn giản và dễ thực hiện nhất. Bạn chỉ cần sử dụng một sợi dây thun có độ co giãn và bền chắc tốt để buộc các răng bị lệch mọc sát với nhau mới mục đích đưa những chiếc răng này trở nên thẳng hàng.
Niềng răng bằng dây thép
Các bạn niềng răng sẽ tự thiết kế một hệ thống mắc cài bằng dây thép tương tự như hệ thống mắc cài ở các nha khoa. Sau đó tự mình đeo tại nhà mà không cần tới bác sĩ chỉnh nha.

Dụng cụ niềng răng bán trên mạng
Trên thị trường có rất nhiều loại dụng cụ niềng răng tại nhà được bày bán rộng rãi với giá chỉ từ 200.000 đồng. Đây thực sự là một mức giá quá rẻ so với một ca niềng răng thông thường tại nha khoa. Các dụng cụ niềng răng này có thể là khay niềng bằng nhựa, khay niềng silicon và nó có thể sử dụng để niềng răng cho cả trẻ em và người lớn. Những khay niềng răng bày bán trên mạng hầu hết đều được sản xuất theo một tỷ lệ chung và không có nguồn gốc xuất sứ rõ ràng. Về nguyên tắc bộ khay niềng trong suốt phải được thiết kế riêng theo từng tình trạng răng và phác đồ điều trị của bác sĩ. Việc tự ý mua khay niềng ở bên ngoài có thể tiềm ẩn nhiều nguy cơ xấu, không chỉ không mang lại hiệu quả mà còn ảnh hưởng tới sức khỏe răng miệng.

Dùng lưỡi đẩy răng
Đây là cách nhiều người vẫn thường áp dụng khi thấy răng có dấu hiệu mọc sai lệch. Mặc dù cách này an toàn hơn 2 cách trên nhưng lại không có hiệu quả.
Việc niềng răng tại nhà có thật sự hiệu quả hay không?
Theo những lời quảng cáo trên mạng thì hình thức niềng răng tại nhà mang lại rất nhiều hiệu quả trong việc chỉnh nha mà chi phí lại rẻ. Tuy nhiên, vẫn chưa có một thống kê kết quả niềng răng thực tế nào xác thực được về tính chính xác của các phương pháp này.
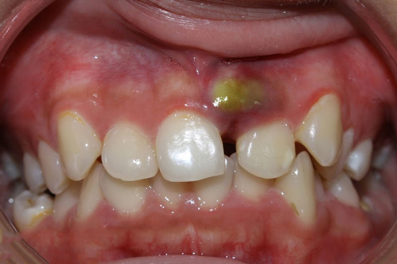
Lợi ích vẫn chưa thấy nhưng hậu quả của niềng răng tại nhà lại quá rõ ràng. Điều này đã được nhiều chuyên gia nha khoa hàng đầu nhận định. Sau đây là những hậu quả khôn lường do việc niềng răng tại nhà gây ra:
- Gây nên tình trạng răng đau nhức, ê buốt kéo dài: Những dụng cụ này không có lực kéo đều, ổn định nên quá trình niềng răng sẽ không được liền mạch. Răng có thể chỉ dịch chuyển một chút sau đó lại trở về vị trí cũ gây ra tình trạng đau nhức ê buốt và không mang lại hiệu quả.
- Răng trở nên xô lệch nhiều hơn trước: Việc niềng răng tại nhà không có sự điều chỉnh của bác sĩ chuyên môn rất khó để kiểm soát lực nên sẽ làm cho răng dịch chuyển không đúng phương hướng, khiến răng ngày càng xô lệch nhiều hơn trước.
- Răng bị lung lay: Việc niềng răng bằng dây thép, dây thun tự chế có thể gây tổn thương các mô mềm, mô xương quanh răng khiến cho răng bị lung lay và rất dễ rụng. Điều này không chỉ ảnh hưởng đến khả năng ăn nhai của người niềng răng, mà lâu dần còn làm đau dạ dày, gây tiêu xương, hóp má.
- Làm viêm tủy răng, chết tủy: Một trong những hậu quả của việc niềng răng tại nhà đó là gây viêm tủy răng. Nghiêm trọng hơn răng có thể dịch chuyển đột ngột khiến mạch máu bị đứt dẫn tới việc chết tủy.
- Bị sai lệch về xương và khớp cắn: Nếu việc niềng răng tại nhà được áp dụng cho trẻ em ở độ tuổi thanh thiếu niên thì sự sai lệch sẽ càng nghiêm trọng hơn. Nguyên nhân do xương hàm vẫn đang trong giai đoạn phát triển, vì thế việc dịch chuyển răng sai hướng sẽ dẫn tới những sai lệch về xương và khớp cắn.
- Viêm nhiễm vùng nướu: Răng di chuyển sai lệch có thể làm tổn hại đến các mạch máu xung quanh răng, nướu phải chịu áp lực nặng nề gây ra viêm nhiễm vùng nướu. Bên cạnh đó nếu trong trường hợp sử dụng thun buộc, dây thép có thể bị trượt lên chân răng, lấn vào nướu gây cắt đứt nguồn cung cấp máu.
- Nhiễm trùng: Những dụng cụ niềng răng tại nhà không được sát khuẩn nên nếu đeo lâu ngày sẽ sinh ra vi khuẩn làm nhiễm trùng nướu răng và ảnh hưởng tới sức khỏe của cả cơ thể.

Các phương pháp niềng răng đảm bảo an toàn
Mặc dù niềng răng tại nha là phương pháp tiết kiệm chi phí. Tuy nhiên, nó lại không đảm bảo cho sức khỏe răng miệng. Không chỉ vậy nó còn gây ra các biến chứng nguy hiểm và rất đáng lo ngại cho con người.
Chính vì thế bạn cần lựa chọn các phương pháp niềng răng khoa học đã được nghiên cứu và chứng thực về tính hiệu quả cũng như sự an toàn. Có 3 phương pháp được sử dụng chính tại các nha khoa uy tín đó là: niềng răng trong suốt, niềng răng mắc cài thường và niềng răng mắc cài tự động. Mỗi phương pháp lại có những ưu điểm, nhược điểm, chi phí riêng phù hợp với nhu cầu của từng người. Chúng ta sẽ cùng đi tìm hiểu kỹ hơn về từng loại niềng răng này nhé!
Niềng răng mắc cài truyền thống

Mắc cài kim loại
Nếu bạn lo ngại về chi phí niềng răng cao thì mắc cài kim loại là
Phương pháp này sử dụng các khí cụ mắc cài, dây cung để dịch chuyển răng về vị trí đúng. Mắc cài được gắn trên răng, dây cung cố định trong rãnh mắc cài nhờ các thun buộc cố định.
Ưu điểm:
- Giá thành hợp lý
- Hiệu quả cao
Nhược điểm:
- Có thể gây tổn thương các mô mềm trong miệng
- Gây đau, khó chịu
- So với các loại mắc cài khác thì mắc cài kim loại có tính thẩm mỹ kém nhất
Mắc cài sứ
Cũng tương tự như mắc cài kim loại truyền thống nhưng chất liệu mắc cài là sứ (có màu giống với màu răng), tính thẩm mỹ tốt hơn.
Ưu điểm:
- Tính thẩm mỹ cao hơn, giúp bạn tự tin hơn khi đeo niềng
Nhược điểm:
- Giá thành cao hơn mắc cài kim loại truyền thống
- Dày hơn mắc cài kim loại
Niềng răng mắc cài tự động

Mắc cài kim loại tự động
Thay vì sử dụng thun buộc cố định, mắc cài kim loại tự buộc có thêm chốt đóng mở tự động giúp cố định day cung trong rãnh mắc cài. Các dây cung có thể trượt tự do, giúp duy trì lực ổn định hơn, ngoài ra còn giảm tối đa lực ma sát, mang lại cảm giác thoải mái hơn.
Ưu điểm:
- Thời gian niềng nhanh hơn
- Số lần tái khám định kỳ ít hơn mắc cài truyền thống
- Giảm tình trạng bị bung, tuột mắc cài
- Thiết kế bo tròn giúp việc vệ sinh dễ dàng hơn
- Giảm cảm giác đau nhức khi đeo
- Tính thẩm mỹ cao hơn so với mắc cài kim loại truyền thống
Nhược điểm:
- Chi phí cao hơn mắc cài kim loại truyền thống
- Tính thẩm mỹ thấp hơn các loại mắc cài sứ
Mắc cài sứ tự động
Mắc cài sứ tự động có cấu tạo tương tự như mắc cài kim loại tự động, chỉ khác ở chất liệu mắc cài là làm từ sứ nên có tính thẩm mỹ tốt.
Ưu điểm:
- Lực tác dụng lên răng đều và ổn định
- Tính thẩm mỹ cao, chất liệu sứ không bị bám màu
- Chịu được lực tốt, khó bị vỡ
- Tăng đôi trong điều khiển xoay giúp thời gian niềng răng nhanh hơn
Nhược điểm:
- Chi phí cao
Đọc thêm: 2 loại mắc cài kim loại chất lượng hiện nay
Niềng răng trong suốt

Niềng răng trong suốt là phương pháp niềng răng hiện đại nhất trên thế giới. Phương pháp này sử dụng khay niềng từ từ làm thay đổi cấu trúc răng, đưa răng về đúng vị trí trên cung hàm. Đây được đánh giá là phương pháp niềng có tính thẩm mỹ cao nhất, khó ai có thể phát hiện bạn đang đeo niềng răng dù nhìn ở khoảng cách gần.
Niềng răng trong suốt có rất nhiều loại, tuy nhiên bác sĩ Đức chỉ sử dụng công nghệ niềng răng Invisalign từ Hoa Kỳ được hơn 10 triệu người tin tưởng sử dụng trên toàn thế giới.
Khay niềng được làm từ chất liệu SmartTrack, là một loại polyme nhiệt dẻo, được chứng nhận y khoa có độ đàn hồi cao, ôm sát chân răng, giúp dịch chuyển răng một cách chính xác hơn, hiệu quả hơn. Bên cạnh đó nó còn tạo lực đẩy nhẹ và liên tục, giúp quá trình niềng vô cùng thoải mái và không đau.
Ưu điểm:
- Tính thẩm mỹ cao
- Dễ dàng tháo ra lắp vào
- Vệ sinh đơn giản
- Không cần kiêng khem nhiều thứ như niềng mắc cài
- Ít phải tới gặp nha sĩ
Nhược điểm:
- Chi phí cao
- Cần có tính tự giác do khay niềng có thể tháo ra lắp vào rất đơn giản
- Phải đeo đủ 22h/ngày
Đọc thêm: Niềng răng trong suốt cho trẻ em có hiệu quả không?
Niềng răng ở đâu đảm bảo an toàn?
Như đã nói ở trên, niềng răng tại nhà có thể gây ra rất nhiều biến chứng nguy hiểm. Bạn không nên niềng răng tại nhà vì có thể “tiền mất tật mang”, nếu bạn muốn có một hàm răng đẹp nhưng lại chưa đủ chi phí thì có thể lựa chọn niềng răng trả góp tại các nha khoa uy tín.
Một địa chỉ niềng răng chất lượng sẽ đóng vai trò quan trọng giúp bạn không chỉ có hàm răng đều đặn, nụ cười rạng rỡ mà còn đảm bảo an toàn cho sức khỏe, giúp việc ăn nhai tốt.
Chuyên gia chỉnh nha Phạm Hồng Đức trực tiếp điều trị
- Bác sĩ Đức được hãng Invisalign đánh giá là bác sĩ TOP 1 tại Đông Nam Á và TOP 1 về kinh nghiệm, chuyên môn tại Việt Nam
- Bác sĩ đầu tiên tại Châu Á đạt thứ hạng Red Diamond trên bản đồ Invisalign toàn cầu
- Bác sĩ có số lượng khách hàng niềng Invisalign nhiều nhất Việt Nam năm 2021
- Bác sĩ thuộc Hiệp hội chỉnh nha Hoa Kỳ AAO
- Bác sĩ thuộc Hiệp hội nắn chỉnh răng thế giới IAO, Hiệp hội chỉnh nha thế giới WFO
- Dịch giả của những cuốn sách chỉnh nha nổi tiếng như 1001 bí kíp lâm sàng trong chỉnh nha (2015), Các ca lâm sàng trong chỉnh nha (2015), Cơ sinh học trong chỉnh nha (2016),…
- Bác sĩ Đức đã có kinh nghiệm điều trị hơn 7000 ca chỉnh nha, được coi là một trong những bác sĩ có số lượng KH niềng răng lớn nhất Hà Nội.
- Là người đầu tiên đưa phương pháp Niềng không nhổ răng F.A.C.E từ nước ngoài về ứng dụng tại Việt Nam, giúp hạn chế tối đa việc nhổ răng thậm chí không cần nhổ răng mà vẫn mang lại hiệu quả điều trị cao nhất.
Phòng khám có máy móc, trang thiết bị hiện đại
- Sử dụng công nghệ niềng răng mắc cài thông minh Damon
- Nha khoa đầu tiên tại ĐNA sở hữu máy quét dấu răng iTero 5D Plus hiện đại nhất trên thế giới, cho kết quả nụ cười mới chỉ sau 60s, phát hiện nhanh các bệnh lý răng miệng
- Máy chụp X – quang Vatech Pax-i
- Máy nhổ răng khôn bằng sóng siêu âm Piezotome
Chính sách trả góp linh hoạt, lãi suất 0%
- Chính sách trả góp linh hoạt, bạn chỉ cần thanh toán trước từ 30 – 50% tổng chi phí niềng răng, số còn lại có thể thanh toán nốt trong vòng từ 6 – 12 tháng với lãi suất 0%
- Có hợp đồng niềng răng để bảo vệ quyền lợi cho khách hàng.
Như vậy, câu trả lời cho câu hỏi “Có nên niềng răng tại nhà hay không?” chắc chắn là không. Hãy tìm tới các địa chỉ nha khoa uy tín có bác sĩ tay nghề cao để đảm bảo thăm khám chính xác và có kế hoạch điều trị tốt nhất, mang lại hiệu quả như mong muốn.
Nếu có bất kỳ câu hỏi hay thắc mắc liên quan đến vấn đề niềng răng, bạn hãy gọi đến số HOTLINE 086.690.7886 – 093 186 3366 hoặc bạn có thể đăng ký tư vấn (miễn phí) với bác sĩ Đức AAO để được hỗ trợ sớm nhất nhé ĐĂNG KÝ

