Răng thưa là một nhược điểm lớn mà rất nhiều người trong chúng ta gặp phải. Những khe hở trên răng có thể khiến bạn hơi mất tự tin khi giao tiếp. Chính vì vậy, ngày càng nhiều người bị thưa răng tìm đến phương pháp niềng răng để đóng lại những khoảng trống trên răng. Một câu hỏi phổ biến liên quan đến niềng răng thưa đó là niềng răng thưa có cần nhổ bớt răng hay không?

Mục lục
Tại sao cần nhổ bỏ răng khi niềng răng?
Trước khi bạn hiểu được mối liên quan giữa nhổ răng và niềng răng, tốt nhất bạn nên tìm hiểu mục đích chính của quá trình niềng răng bao gồm:
- Cải thiện nụ cười, mang đến cho bạn sự tự tin
- Khắc phục những trở ngại về giọng nói
- Thúc đẩy vệ sinh răng miệng tốt
Chỉnh nha thực chất là phương pháp nắn chỉnh răng về đúng vị trị trên cung hàm. Nếu bác sĩ chỉnh nha nhận thấy rằng hàm răng của bạn chưa thể đáp ứng các điều kiện để nắn chỉnh nếu như để răng ở nguyên trạng thái tự nhiên của chúng, khi đó việc nhổ răng có thể là cần thiết.
Mục đích chính của nhổ răng khi niềng răng là để tạo không gian cho các răng di chuyển và sắp xếp trên cung hàm.
Người trưởng thành có hàm răng đã chắc chắn và ổn định nên việc kéo răng dịch chuyển vào vị trí đúng trên cung hàm là điều rất khó khăn. Nhổ răng tạo ra khoảng trống trên răng để thuận lợi cho quá trình nắn chỉnh răng.
Ngược lại, đối với trẻ em, xương hàm và phần mềm vẫn đang phát triển nên việc nắn chỉnh răng đơn giản hơn và thường không cần thiết phải nhổ răng. Các bác sĩ có thể cài đặt các dụng cụ mở rộng qua vòm miệng hay còn gọi là niềng răng trainer để điều chỉnh các sai lệch sớm ở răng của trẻ.

Những người có cung hàm nhỏ, các răng thường mọc chen chúc trên cung hàm và để đủ vị trí trên răng, chúng thường xoay theo các hướng gây nên sự lộn xộn, kém thẩm mỹ. Niềng răng khi các răng mọc chen chúc là trường hợp điển hình yêu cầu phải nhổ bỏ bớt răng để có không gian dàn đều các răng còn lại cho đều thẳng.
Nên nhổ bao nhiêu răng trước khi niềng răng? Con số này sẽ phụ thuộc vào mức độ nghiêm trọng của tình trạng chen chúc răng.
Răng khôn là chiếc răng hàm cuối cùng mọc khi bạn đến tuổi vị thành niên, thông thường là khi bạn khoảng 18 tuổi. Tuy nhiên, rất nhiều người mọc răng khôn muộn, và khi đó, răng khôn dễ mọc lệch lạc hoặc mọc ngầm, gây đau nhức và ảnh hưởng đến các răng khác. Bạn cần phải nhổ bỏ những chiếc răng khôn này.
Với khoảng trống dư thừa trong hàm khi nhổ bỏ răng khôn, quá trình điều trị chỉnh nha có thể tiếp tục mà không có bất kỳ sự căng thẳng nào trên mắc cài và dây cung.
Đọc thêm: Nhổ răng khôn khi niềng răng có nguy hiểm không?
Điều chỉnh đường giữa của răng
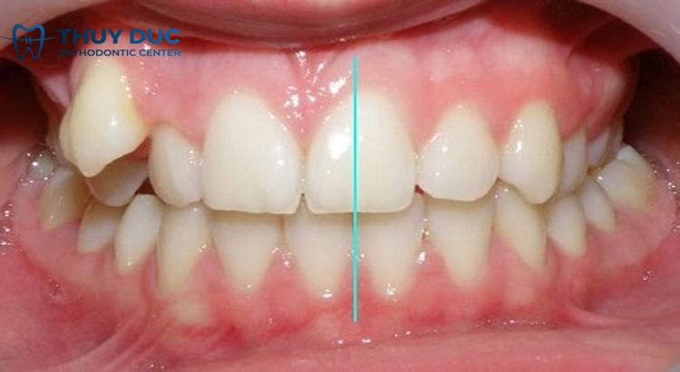
Một số trường hợp có cấu trúc răng lệch đường giữa của răng cửa hàm trên và răng cửa hàm dưới. Đường giữa răng này cũng có thể lệch với đường giữa nhân trung, mũi và mặt gây mất cân đối, ảnh hưởng tới thẩm mỹ. Nhổ răng và chỉnh nha cũng là một biện pháp khắc phục hiệu quả tình trạng lệch đường giữa của răng.

Căn chỉnh khớp cắn
Nhổ răng khi niềng răng điều chỉnh khớp cắn đối với các trường hợp lệch khớp cắn nhiều, hỗ trợ cho việc ăn nhai tốt hơn cũng là một cách để bạn chăm sóc sức khỏe lâu dài.
Nhổ răng trước khi niềng răng được thực hiện thế nào?
Việc nhổ răng để phục vụ quá trình niềng răng được bác sĩ cân nhắc, đánh giá thực hiện vào các thời điểm:
Trước khi niềng răng
Thông thường, trong lần khám tư vấn và chốt phương án niềng răng, bác sĩ sẽ xem xét trường hợp của bạn có cần phải nhổ bỏ bớt răng không. Nếu cần phải xử lý nhổ răng và tình trạng sức khỏe của bạn đảm bảo tốt thì bạn có thể thực hiện nhổ răng ngay vào buổi hẹn khám ngày hôm đó. Có những trường hợp cần nhổ nhiều răng, để không quá ảnh hưởng đến sức khỏe của bạn, mỗi lần bạn được chỉ định nhổ 1-2 răng và cách nhau 2-3 tuần để nướu và xương hàm ổn định trở lại trước khi gắn mắc cài hoặc đeo máng niềng.
Sau khi đeo niềng răng
Tùy theo nhận định và kinh nghiệm của bác sĩ chỉnh nha, một số trường hợp được chỉ định nhổ răng sau khoảng 1 tháng đeo khí cụ niềng răng. Cách làm này được đánh giá cao hơn nhổ răng trước khi đeo niềng do sau một thời gian ngắn đeo mắc cài, răng của bạn cũng đã bắt đầu dịch chuyển thì việc nhổ răng sẽ đơn giản và ít đau đớn hơn. Đồng thời, sau khi đeo dụng cụ định hình răng, bác sĩ có thể xác định dễ dàng vị trí răng cần nhổ bỏ để hiệu quả niềng răng cao hơn.
Đọc thêm: Niềng răng thường nhổ những răng nào?

Răng thưa khi niềng răng có cần phải nhổ răng không?
Đối với hàm răng sẵn có các khe hở, bác sĩ sẽ kiểm tra và xác định kế hoạch điều trị trên từng trường hợp cụ thể. Đa phần người bị răng thưa thì khi niềng răng không cần phải nhổ bỏ thêm bất cứ răng nào nữa. Bởi lẽ, hàm răng đã có các khoảng trống cần thiết để kéo các răng dịch chuyển sát khít vào nhau và thẳng đều trên cung hàm.
Lợi ích của việc niềng răng thưa không nhổ răng
- Niềng răng thưa giúp cải thiện đáng kể ngoại hình của bạn, mang lại một nụ cười rạng rỡ và tự tin.
- Niềng răng giúp khép lại các khe hở giữa các răng. Do đó, sẽ giảm thiểu được tình trạng khi ăn thức ăn bị giắt vào các kẽ răng. Từ đó, giúp giảm được nhiều nguy cơ gặp phải các bệnh lý về răng miệng ( sâu răng, viêm nướu,..).
- Niềng răng thưa điều chỉnh lại sự đối xứng của khớp hàm, không còn tình trạng sai lệch khớp cắn, ảnh hưởng đến chất lượng ăn nhai và tiêu hóa.
- Răng thưa thường khiến nhiều người phát âm không chuẩn do các kẽ hở trên răng. Niềng răng giúp các răng khít lại với nhau khiến phát âm của bạn chuẩn, ấm hơn.
- Ở trẻ em, việc niềng răng thưa sớm sẽ giúp xương răng được phát triển thuận lợi. Đồng thời, giảm thiểu nguy cơ rủi ro có thể gặp phải về sức khỏe răng miệng sau này.
- Niềng răng thưa không cần nhổ răng khiến giảm bớt những trải nghiệm khó chịu khi niềng răng. Đối với nhiều người, nhổ răng để chỉnh nha là một nỗi ám ảnh, chưa kể đến cần nhổ một lúc nhiều răng. Nếu bạn có thể được tiến hành chỉnh nha ngay mà không cần xử lý nhổ răng thì đó là một điều may mắn, bạn sẽ không bị đau đớn sau khi nhổ răng, nhất là trong một vài ngày đầu.
- Niềng răng thưa không cần nhổ răng là một ca niềng răng ít xâm lấn, răng được bảo tồn trọn vẹn, không gây nhiều tổn hại cho sức khỏe và hệ thần kinh.
- Việc bỏ qua bước nhổ răng khi chỉnh nha giúp rút ngắn thời gian niềng răng của bạn, giúp bạn nhanh chóng hưởng thụ thành quả của việc niềng răng.

Niềng răng thưa chuẩn Hoa Kỳ tại Nha Khoa Thúy Đức
Nha khoa Thúy Đức cung cấp đầy đủ các gói dịch vụ chỉnh nha trong trường hợp răng bị thưa như: niềng răng mắc cài kim loại, niềng răng mắc cài sứ, niềng răng trong suốt Invisalign đáp ứng được mọi yêu cầu và điều kiện của khách hàng.
Niềng răng trong suốt Invisalign là phương pháp niềng răng hiện đại nhất trên thế giới, sử dụng khay niềng từ từ thay đổi cấu trúc răng, đưa răng về đúng vị trí. Đây là phương pháp niềng có tính thẩm mỹ cao nhất, khó ai có thể phát hiện bạn đang đeo niềng dù nhìn ở khoảng cách gần.
Nha khoa Thúy Đức sử dụng công nghệ niềng răng Invisalign từ Hoa Kỳ với khay niềng được làm từ chất liệu Smart Track, đây là một loại polyme nhiệt dẻo, được chứng nhận y khoa có độ đàn hồi cao, ôm sát vào chân răng giúp răng dịch chuyển chính xác hơn và hiệu quả hơn, đồng thời tạo ra lực đẩy nhẹ và liên tục, chính vì vậy mà quá trình đeo niềng hoàn toàn không đau mà rất thoải mái.
Đối với niềng răng mắc cài, Nha khoa Thúy Đức áp dụng công nghệ niềng răng đa dạng, linh hoạt cho từng trường hợp, giúp răng dịch chuyển chính xác theo đúng quy trình đưa ra từ bác sĩ. Có 2 loại niềng răng mắc cài là niềng răng mắc cài kim loại Damon và niềng răng mắc cài sứ Damon. Mỗi phương pháp lại có 2 loại mắc cài khách hàng có thể lựa chọn là mắc cài truyền thống và mắc cài thông minh Damon.
Với đội ngũ bác sĩ trình độ cao, nhiều kinh nghiệm, tận tâm với nghề, cập nhật công nghệ mới nhất, máy móc trang thiết bị không ngừng được nâng cấp, Nha khoa Thúy Đức là nơi thực hiện thành công hơn 7000 ca chỉnh nha từ đơn giản đến phức tạp, nhiều trong số các ca niềng răng này không cần can thiệp nhổ răng hoặc rất hạn chế điều này.

Sở dĩ có được thành tựu như vậy nhờ vào kỹ thuật chỉnh nha của Bác sĩ chỉnh nha chính- Bác sĩ Phạm Hồng Đức là bác sĩ chỉnh nha đầu tiên tại Việt Nam được học về chương trình đào tạo F.A.C.E (Functional and Cosmetic Excellence) – đào tạo kỹ thuật niềng răng chuyên sâu giúp thực hiện những ca niềng khó mà không cần nhổ răng hoặc hạn chế tối đa việc nhổ răng. Cùng với kinh nghiệm thực tiễn và kỹ thuật chuyên sâu của mình, bác sĩ đã kết tinh ra phương pháp niềng răng F.A.C.E – hạn chế việc phải nhổ răng hoặc không phải nhổ răng dành riêng cho cấu trúc Răng – Hàm – Mặt của người Việt Nam.
Bác sĩ Đức là bác sĩ chỉnh nha chính của trung tâm, người đã du học nhiều năm tại nước ngoài, tích luỹ được nhiều kiến thức chuyên môn, kinh nghiệm phong phú và vinh dự là thành viên của nhiều Hiệp hội nha khoa nổi tiếng như:
- Bác sĩ Đức được hãng Invisalign đánh giá là bác sĩ TOP 1 tại Đông Nam Á và TOP 1 về kinh nghiệm, chuyên môn tại Việt Nam
- Bác sĩ đầu tiên tại Châu Á đạt thứ hạng Red Diamond trên bản đồ Invisalign toàn cầu
- Bác sĩ có số lượng khách hàng niềng Invisalign nhiều nhất Việt Nam năm 2021
- Bác sĩ thuộc Hiệp hội chỉnh nha Hoa Kỳ AAO
- Bác sĩ thuộc Hiệp hội nắn chỉnh răng thế giới IAO, Hiệp hội chỉnh nha thế giới WFO
- Dịch giả của những cuốn sách chỉnh nha nổi tiếng như 1001 bí kíp lâm sàng trong chỉnh nha (2015), Các ca lâm sàng trong chỉnh nha (2015), Cơ sinh học trong chỉnh nha (2016),…
- Bác sĩ Đức đã có kinh nghiệm điều trị hơn 7000 ca chỉnh nha, được coi là một trong những bác sĩ có số lượng KH niềng răng lớn nhất Hà Nội.
- Là người đầu tiên đưa phương pháp Niềng không nhổ răng F.A.C.E từ nước ngoài về ứng dụng tại Việt Nam, giúp hạn chế tối đa việc nhổ răng thậm chí không cần nhổ răng mà vẫn mang lại hiệu quả điều trị cao nhất.
Nha khoa Thúy Đức là nha khoa đầu tiên tại Việt Nam sở hữu máy quét dấu răng toàn hàm iTero 5D Plus hiện đại nhất thế giới. Phòng khám chỉ sử dụng mắc cài cao cấp Ormco Hoa Kỳ – Thương hiệu mắc cài lâu đời và uy tín nhất thế giới. Ngoài ra, phòng khám hỗ trợ trả góp linh hoạt với lãi suất 0% cùng nhiều chính sách ưu đãi khác.
Chính vì vậy, đây xứng đáng là sự lựa chọn đáng tin cậy để cải thiện vẻ đẹp cho nụ cười của bạn, xóa bỏ đi khuyết điểm về một hàm răng thưa từng khiến bạn mặc cảm, tự ti.

