Sai khớp cắn không chỉ ảnh hưởng nhiều đến sức khỏe răng miệng mà còn ảnh hưởng đến cả thẩm mỹ gương mặt. Nội dung bài viết dưới đây sẽ giúp bạn phân biệt những loại sai khớp cắn thường gặp và cách điều trị hiệu quả nhất. Cùng bắt đầu bài viết ngay nào!

Mục lục
Khớp cắn chuẩn là gì?
Khớp cắn chuẩn, còn được gọi là “khớp cắn đúng” là tình trạng mà khi hàm dưới và hàm trên ở trong tư thế kết hợp, các răng cửa hàm dưới và hàm trên sẽ kết hợp một cách hợp lý và đúng. Khi kết hợp với nhau, các răng sẽ tiếp xúc ở các điểm chính xác, tạo nên một trạng thái chính xác và cân bằng giữa cơ hàm, xương hàm và xương sọ.
Một khớp cắn chuẩn có thể thể hiện bằng sự cân bằng giữa răng cửa ở phía trước và răng chân ở phía sau khi hàm dưới và hàm trên tiếp xúc. Nếu một người có một khớp cắn chuẩn có nghĩa là họ có thể ngậm hàm lại mà không gây ra bất kỳ sai lệch nào.

Khớp cắn chuẩn là một phần quan trọng của chức năng nha khoa và sự cân bằng của hàm cắn có thể ảnh hưởng đến sức khỏe răng miệng, chẳng hạn như hệ thống cơ xương khuôn mặt, việc ăn uống và thậm chí cả khả năng phát âm.
Khớp cắn chuẩn còn giúp gương mặt cân đối,hài hòa, không bị hiện tượng lệch mặt, hô hay móm,…
Sai khớp cắn là gì?
Sai khớp cắn là tình trạng mà các răng của hàm dưới và hàm trên không kết hợp một cách hợp lý khi hàm cắn lại. Điều này có thể là do sự không phù hợp giữa kích thước, hình dáng và vị trí của các răng trên hàm dưới và hàm trên.
Như đã đề cập ở trên, sai khớp cắn có nhiều tác hại đối với sức khỏe răng miệng, thẩm mỹ và một số hoạt động sinh hoạt của chúng ta.
Các loại sai khớp cắn
Để điều trị đúng và hiệu quả sai lệch khớp cắn, điều đầu tiên và rất quan trọng đó là xác định bệnh nhân gặp tình trạng sai lệch khớp cắn nào. Dưới đây là 6 loại sai lệch khớp cắn:
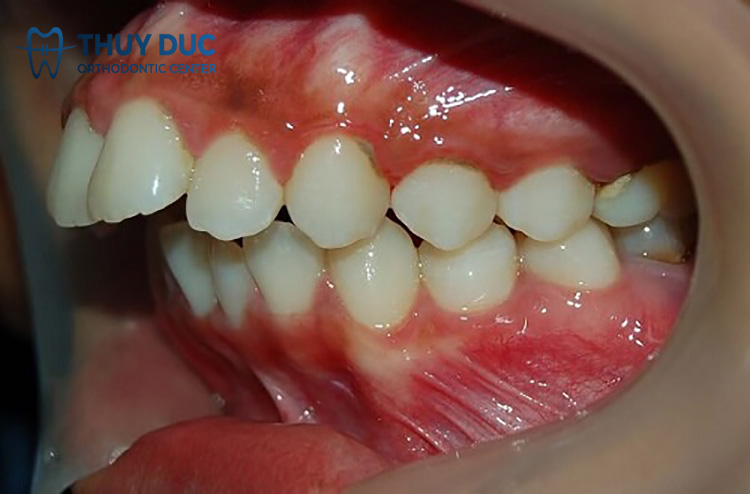
Răng hô, vẩu – Protruded teeth
Hô (vẩu) là tình trạng khi một số răng nằm ra xa so với vị trí bình thường của chúng, gây ra sự không cân đối và không đều của hàng răng. Cụ thể, “răng hô” thường chỉ việc răng cửa hàm trên nằm xa so với vị trí của các răng hàm dưới hoặc việc răng cửa không tiếp xúc với răng khi hàm đóng lại.
Đây cũng chính là biểu hiện thường thấy của những người bị hô răng. Khi răng ở trạng thái đóng hoàn toàn có thể dễ dàng thấy được phần răng nhô ra phía trước khá nhiều, thậm chí với trường hợp hô nặng môi có thể che hết được răng cửa.
Hỏi đáp: Niềng răng hô trong suốt có hiệu quả không?

Ảnh hưởng của răng hô có thể kể đến những ảnh hưởng thấy rõ như sau:
- Làm cho khuôn mặt trở nên không cân đối phần miệng bị nhô ra phía trước, thường bị gọi là vẩu.
- Ăn uống khó khăn hơn, đặc biệt là khi cắn những thực phẩm dai cứng.
- Do khoảng cách giữa các răng, việc vệ sinh răng miệng có thể trở nên khó khăn hơn, làm hình thành mảng bám, viêm nhiễm nướu và sâu răng.
Răng móm – Underbite
Là tình trạng khi hàm trên thụt vào bên trong so với hàm dưới khi miệng đóng lại. Điều này dẫn đến việc răng trên không thể che phủ răng dưới, tạo nên một khoảng cách giữa hàm trên và hàm dưới.

Ảnh hưởng của răng móm:
- Răng móm có thể dẫn đến sự không đều và không cân đối của các răng, gây khó khăn trong việc vệ sinh răng miệng. Điều này có thể tạo điều kiện thuận lợi cho viêm nhiễm nướu, mảng bám, sâu răng và các vấn đề khác về sức khỏe răng miệng.
- Tùy theo mức độ răng móm, việc ăn uống có thể trở nên khó khăn hơn. Móm có thể gây ra một khoảng cách không gian giữa hàm trên và hàm dưới, làm cho việc cắn và nghiền thức ăn không hiệu quả.
- Răng móm cũng có thể gây ra vấn đề trong việc phát âm, đặc biệt là khi có sự cách biệt lớn giữa hàm trên và hàm dưới khi đóng lại.
- Tình trạng răng móm khiến gương mặt kém hài hòa, hàm dưới thu lại, dân gian thường gọi đây là gương mặt “lưỡi cày”.
- Nếu không được điều trị kịp thời, răng móm có thể gây ra các vấn đề nha khoa và xương như mất xương, khó khăn trong việc điều trị và phục hồi sau này.
Đọc thêm: Niềng răng móm trong bao lâu?
Khớp cắn hở (Open bite)
Là tình trạng khi hai hàng răng của hai hàm không khớp hoặc cắn lệch nhau khi cắn kín miệng.

Giống như các dạng sai lệch khớp cắn khác, khớp cắn hở cũng ảnh hưởng không nhỏ đến sức khỏe và thẩm mỹ. Tùy vào mức độ, khớp cắn hở có thể dẫn đến các nguy cơ:
- Ăn nhai trở nên khó khăn: việc nghiền thức ăn có thể bị ảnh hưởng, dẫn đến vấn đề về tiêu hóa và hấp thụ chất dinh dưỡng.
- Ảnh hưởng đến việc phát âm một số âm thanh, đặc biệt là những âm có sự tham gia của các răng. Điều này có thể dẫn đến khó khăn trong giao tiếp.
- Khớp cắn hở có thể gây ra đau và khó chịu trong vùng hàm, cổ và đầu do căng thẳng mặt và cơ hàm.
- Các vấn đề về khớp cắn, bao gồm việc làm tổn thương các cơ và mô mềm xung quanh khớp cắn, gây ra sự mất cân bằng và đau trong vùng khớp cắn.
Khớp cắn đối đầu (edge-to-edge bite)
Là tình trạng khi các răng của hai hàm chạm vào nhau một cách trực tiếp và đối đầu trong trạng thái đóng miệng. Thay vì có một khoảng trống nhỏ giữa răng trên và răng dưới khi kín miệng (như trong khớp cắn hở), khớp cắn đối đầu xảy ra khi các đầu răng trên và dưới tiếp xúc trực tiếp với nhau.

Khớp cắn đối đầu nếu không được phát hiện và điều trị đúng cách có thể dẫn đến những hậu quả đáng e ngại như:
- Các bề mặt răng tiếp xúc nhiều có thể bị mất men răng và làm mỏng lớp men bảo vệ, dẫn đến tình trạng nhạy cảm và mất vị trí tự nhiên của răng.
- Khớp cắn đối đầu có thể gây ra áp lực cho các cơ và mô mềm xung quanh khớp cắn và hàm mặt. Điều này có thể dẫn đến đau và khó chịu trong vùng này.
- Ăn nhai trở nên không hiệu quả, gây ra khó khăn trong việc nghiền thức ăn và tiêu hóa.
- Việc khớp cắn đối đầu có thể ảnh hưởng tới cấu trúc tổng thể của hàm mặt, tạo ra một ngoại hình không mong muốn và có thể gây tự ti cho người bệnh.
Khớp cắn sâu (Deep bite)
Là một dạng sai lệch khớp cắn, trong đó hàng răng trên chồng lên rất cao trên hàng răng dưới khi kín miệng. Khi xem từ phía bên, các răng trên che phần lớn hoặc toàn bộ răng dưới. Tình trạng này có thể ảnh hưởng đến cả vẻ ngoại hình và chức năng của miệng và hàm mặt.

Một số tác động và vấn đề có thể xuất hiện do khớp cắn sâu bao gồm:
- Khớp cắn sâu có thể tạo ra căng thẳng không cần thiết trong cơ và mô mềm xung quanh hàm mặt, dẫn đến đau và khó chịu.
- Khó khăn khi ăn nhai: Tình trạng khớp cắn sâu có thể làm việc ăn nhai trở nên khó khăn do không có không gian đủ để răng nghiền thức ăn một cách hiệu quả.
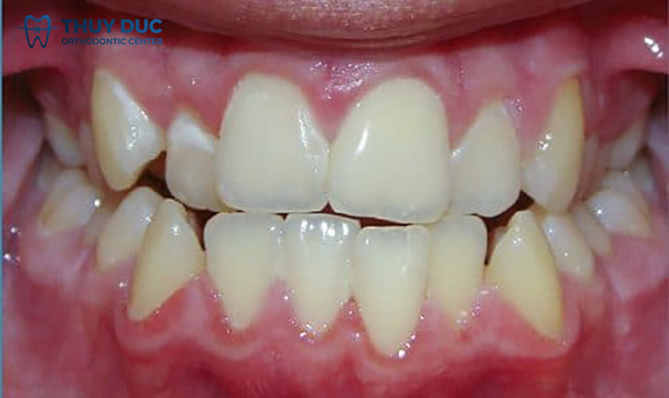
Khớp cắn chéo (Cross bite)
Là một tình trạng sai lệch răng, trong đó một hoặc một số răng ở hàm trên cắn vào bên trong răng ở hàm dưới khi răng ở trạng thái đóng hoàn toàn. Điều này tạo ra một trạng thái không khớp cắn bình thường và có thể ảnh hưởng đến cả chức năng và ngoại hình của miệng và khuôn mặt.

Khớp cắn chéo có thể được chia thành hai dạng chính:
- Cắn chéo đơn bên: Trong trường hợp này, một số răng ở hàm trên cắn vào bên trong răng ở hàm dưới ở một bên của miệng. Nghĩa là, khi kín miệng, các răng ở một bên của miệng không khớp với các răng ở bên đối diện.
- Cắn chéo đôi bên: Ở dạng này, răng ở cả hai hàm trên và dưới cùng có sự chồng chéo lên nhau khi kín miệng. Điều này có thể gây ra các vấn đề chức năng và ảnh hưởng đến khuôn mặt.
Khớp cắn chéo có thể gây ra những vấn đề như:
- Với trẻ em, khớp cắn chéo có thể ảnh hưởng đến sự phát triển và hình dáng của hàm mặt, gây ra sự mất cân đối.
- Khi có sự tiếp xúc không đúng giữa các răng khi cắn, có thể gây ra mài mòn không đều trên bề mặt răng.
- Khớp cắn chéo có thể làm việc ăn nhai trở nên khó khăn và không hiệu quả.
- Dẫn đến đau, vướng, đặc biệt là đau khớp thái dương hàm.
Điều trị sai khớp cắn như thế nào?
Như vậy, sai khớp cắn có thể dẫn đến những ảnh hưởng về sức khỏe, răng miệng, trường hợp nặng còn có thể gây đau và dẫn đến bệnh lý ở những cơ quan khác. Do vậy, cần điều trị sai khớp cắn ngay khi có thể.
Theo một vài nghiên cứu chỉ ra rằng, sai khớp cắn nếu được điều trị sớm thì răng càng được cải thiện và càng tối ưu hơn. Vậy đâu là phương pháp điều trị sai khớp cắn hiệu quả, an toàn và khoa học nhất? Cùng tìm hiểu những phương pháp dưới đây:
Bọc răng sứ
Đây không chỉ là phương pháp thẩm mỹ mà cũng là một phương pháp khắc phục các trường hợp sai lệch khớp cắn. Tuy nhiên, bọc răng sứ chỉ phù hợp với tình trạng sai lệch nhẹ, vì chỉ tác động đến bề mặt, hình dáng răng. Còn đối với trường hợp sai lệch phức tạp hơn thì không phù hợp vì không thể dịch chuyển hay là thay đổi hướng răng.
Có thể hiểu một cách đơn giản, bọc sứ là quá trình mài đi một phần nhỏ răng thật sau đó răng sứ được thay thế vào. Tùy thuộc vào tình trạng răng và mong muốn của khách hàng sẽ quyết định xe cần bọc sứ bao nhiêu răng, tuy nhiên, thông thường người ta chỉ bọc sứ răng cửa.

Ưu điểm của bọc sứ:
- Thời gian thực hiện nhanh chỉ trong vài giờ và 1-2 tuần để chế tác răng sứ.
- Giúp cải thiện hình dáng, màu sắc và vị trí của răng, tạo nên một nụ cười đẹp hơn. Nó có thể che đi các khuyết điểm như răng bị nứt, biến màu, khấp khểnh,…
- Sứ là một chất liệu không gây dị ứng và không gây kích ứng với môi trường miệng. Điều này làm cho bọc răng sứ phù hợp với hầu hết mọi người.
- Bọc răng sứ không yêu cầu chăm sóc đặc biệt. Bạn chỉ cần duy trì thói quen chăm sóc miệng hàng ngày như đánh răng và sử dụng chỉ nha khoa.
Tuy nhiên, bọc răng sứ vẫn có tồn tại một vài nhược điểm như sau:
- Chỉ áp dụng cho những trường hợp sai lệch nhẹ
- Chi phí cao
- Phải mài răng thật nên dễ làm răng nhạy cảm, yếu đi dẫn đến tình trạng ê buốt
- Cần làm tại nha khoa uy tín, có bác sĩ tay nghề cao để tránh những biến chứng sau này.
Hỏi đáp: Bọc răng sứ bị lệch khớp cắn – nguyên nhân tại sao?
Niềng răng
Niềng răng được xem là phương pháp điều trị những sai lệch về răng hiệu quả nhất hiện nay khi áp dụng sức kéo để nắn chỉnh răng về vị trí đúng trên cung hàm.

Với những trường hợp sai lệch khớp cắn do răng hoàn toàn có để điều trị bằng chỉnh nha. Khi bước vào quá trình điều trị, bác sĩ sẽ gắn các khí cụ như mắc cài, dây cung,… lên răng của bạn. Kết hợp kỹ thuật chuyên khoa từ bác sĩ sẽ tạo nên lực kéo, lực siết vừa phải.
Với sự phát triển của ngành y tế như hiện nay, có nhiều hơn những phương pháp niềng vừa đem lại hiệu quả lại đảm bảo tính thẩm mỹ và tạo sự thuận tiện cho người niềng. Những phương đó là: niềng răng mắc cài kim loại, mắc cài sứ, niềng răng mặt trong và niềng răng trong suốt Invisalign.
Ưu điểm của niềng răng:
- Có thể điều trị những trường hợp sai lệch khớp cắn phức tạp
- An toàn, hiệu quả chỉnh nha cao
- Không cần hoặc mài răng rất ít nên bảo toàn được nguyên vẹn răng thật
- Nhiều mức chi phí khác nhau và thường được hỗ trợ trả góp
Nhược điểm:
- Thời gian điều trị kéo dài (từ 1,5 đến hơn 2 năm)
- Cần bác sĩ tay nghề cao, khí cụ chất lượng
- Với niềng răng mắc cài có thể gây khó chịu, vướng víu khi mới niềng
Hỏi đáp: Niềng răng có ảnh hưởng gì không?
Như vậy, bài viết đã phân biệt 6 loại sai khớp cắn phổ biến mà không ít người gặp phải. Tuy nhiên, để biết được bản thân đang nằm trong trường hợp nào, bạn vẫn cần được thăm khám và chẩn đoán bởi bác sĩ chuyên khoa. Tránh tự tìm cách điều trị tại nhà để không gây nguy hiểm.

