Việc sở hữu hàm răng lòi xỉ khiến bạn mất tự tin? Bạn muốn bọc răng sứ nhưng không biết răng lòi xỉ có bọc sứ được không? Nên bọc loại nào? Bọc ở đâu uy tín? Vậy thì đừng bỏ qua bài viết này!
Mục lục
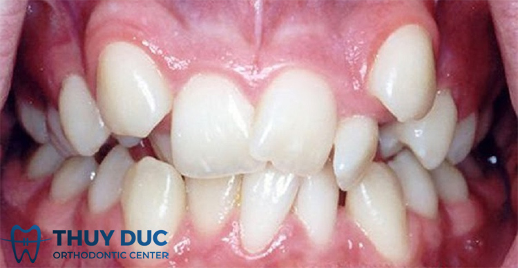
Như thế nào là răng lòi xỉ?
Răng lòi xỉ còn có cách gọi khác là răng lồi xỉ là tình trạng các răng mọc không đồng đều, đặc biệt là răng nanh có thể mọc lên cao, lệch ra khỏi khung hàm, chồi ra phía trước. Đồng thời các răng khác cũng mọc lộn xộn, chúng có thể nghiêng vào trong hoặc ra ngoài, xoay trục, thậm chí không đồng đều về màu sắc và hình dáng.

Răng lồi xỉ khác với răng khểnh. Mặc dù cả 2 trường hợp này răng nanh đều lệch khỏi cung hàm nhưng răng khểnh không làm ảnh hưởng đến các răng khác cũng như chức năng ăn nhai, chúng cũng thường được nhiều người xem như nét duyên dáng, dịu dàng. Trong khi đó răng lòi xỉ lại mang lại cảm giác lộn xộn, chen chúc.
Tình trạng hàm răng lòi xỉ có thể xảy ra do nhiều nguyên nhân khác nhau, bao gồm:
- Yếu tố di truyền
- Khung hàm hẹp bẩm sinh, không đủ không gian cho các răng phát triển đều
- Quy trình nhổ răng không đúng cách…
Ngoài ra, các yếu tố như các bệnh về đường hô hấp, thói quen ngậm bút, mút tay hoặc đẩy lưỡi… cũng có thể góp phần gây ra tình trạng này.
Răng mọc lồi xỉ gây ảnh hưởng gì không?
Mặc dù không nguy hiểm nhưng răng lồi xỉ có thể gây ra những vấn đề như:
Ảnh hưởng đến thẩm mỹ

Tình trạng răng lộn xộn, chen chúc của răng lòi xỉ làm ảnh hưởng trực tiếp đến gương mặt. Nhiều người sở hữu hàm răng này có xu hướng cố gắng che giấu nó mỗi khi nói hoặc cười, dẫn đến việc không thoải mái trong giao tiếp. Một số trường hợp nghiêm trọng, những chiếc răng lệch lạc còn gây khó khăn trong việc khép miệng, dẫn đến cảm giác tự ti, thậm chí ngại tiếp xúc với người khác.
Ảnh hưởng đến khớp cắn
Răng lòi xỉ khiến các răng bị đẩy ra khỏi vị trí ban đầu của chúng trên khung hàm hoặc mọc xoay trục. Ngoài ra, tình trạng này cũng có thể làm ảnh hưởng đến sự phát triển của xương hàm, khiến hàm trên và hàm dưới phát triển không đồng đều, dẫn đến những sai lệch về khớp cắn, làm ảnh hưởng đến chức năng ăn nhai.
Tăng nguy cơ mắc bệnh răng miệng

Răng lồi xỉ mọc nhô hẳn lên cao so với khuôn hàm sẽ tạo ra những kẽ hở nhỏ, đồng thời tình trạng răng mọc xô lệch cũng khiến việc chăm sóc răng miệng trở lên khó khăn hơn. Điều này dễ tạo điều kiện cho vi khuẩn, thức ăn thừa và mảng bám tích tụ, làm tăng nguy cơ mắc các bệnh răng miệng như sâu răng, viêm nướu, viêm nha chu, tụt nướu…
Có thể bạn quan tâm: Răng khểnh có bọc sứ được không? Áp dụng cho trường hợp nào?
Răng lòi xỉ có bọc răng sứ được không?

Bọc sứ là phương pháp phục hình răng giúp cải thiện thẩm mỹ và chức năng ăn nhai hiệu quả. Với phương pháp này, bác sĩ sẽ tiến hành mài răng thật ở mức độ cho phép, sau đó lắp mão sứ nhằm tạo một cung răng đều đẹp hơn.
Tuy nhiên, việc răng lòi xỉ có bọc răng sứ được không lại phụ thuộc vào từng trường hợp.
Theo đó, với các trường hợp răng lòi xỉ nhô quá cao hoặc chìa ra nhiều, để cải thiện, ta sẽ cần mài đi phần lớn mô răng thật, điều này sẽ làm tổn thương ngà và tủy răng, thậm chí hiệu quả sau khi bọc sứ cũng không được như ý. Chính vì vậy, việc bọc răng sứ chỉ thích hợp cho các trường hợp răng lòi xỉ nhẹ và cấu trúc khuôn hàm vẫn đảm bảo.
Với tình trạng răng lòi xỉ nhiều, lộn xộn, niềng răng sẽ là giải pháp tối ưu nhất để cải thiện thẩm mỹ và khớp cắn.
☛ Tìm hiểu thêm: Tất tần tật về niềng răng khấp khểnh, chen chúc
Lựa chọn răng sứ phù hợp cho răng lòi xỉ
Như đã nói ở trên, răng lòi xỉ khiến răng nanh nhô ra khỏi cung hàm, làm những chiếc răng xung quanh, nhất là răng cửa dễ bị chen chúc, lệch lạc. Các răng này đều nằm ở vị trí dễ thấy mỗi khi ta nói hoặc cười nên khi lựa chọn răng sứ cần quan tâm nhiều hơn đến yếu tố thẩm mỹ.
Chính vì vậy, răng toàn sứ sẽ là lựa chọn phù hợp cho trường hợp răng lòi xỉ bởi chúng không chỉ chắc chắn mà còn có màu sắc đẹp, độ tự nhiên cao và nhất là không gây đen chân nướu dù được sử dụng trong một thời gian dài.

Tùy nhu cầu, điều kiện, bạn có thể chọn các loại răng sứ khác nhau. Dưới đây là một số loại được ưa chuộng nhất:
Răng sứ Katana
Đây là loại răng sứ có nguồn gốc từ Nhật Bản, được sản xuất 100% từ sứ Zirconia, có độ bền cao, đảm bảo an toàn và không gây hại cho cơ thể. Răng sứ Katana cũng có bảng màu đa dạng lên đến 16 tone, giúp bạn dễ dàng lựa chọn màu sắc phù hợp nhất với màu răng thật.
So với các loại răng toàn sứ khác, răng sứ Katana cũng có chi phí thấp hơn, do đó nó được nhiều khách hàng ưu tiên lựa chọn.
Răng sứ Ceramill
Răng sứ Ceramill được phát triển bởi tập đoàn Amann Girrbach (Đức) với công nghệ CAD/CAM 3D, giúp tạo ra các mão sứ chuẩn đẹp, có tính thẩm mỹ và độ bền cao.
Răng Ceramill có cấu trúc bên trong là sứ Zirconia và bên ngoài là men sứ Ceramill Kiss, hoàn toàn không chứa kim loại, cho màu sắc tự nhiên và độ bóng mô phỏng men răng một cách hoàn hảo. Đặc biệt, cấu trúc của lớp sứ mỏng nhẹ sẽ giúp hạn chế tối đa việc mài răng.
Răng sứ Emax
Răng sứ Emax thuộc dòng răng sứ cao cấp của Mỹ. Lớp sườn của chúng được làm từ sứ chất lượng cao và phủ bên ngoài là 5 lớp sứ, cho độ thấu quang cùng độ trong mờ như răng thật, vô cùng tự nhiên.
Răng sứ Emax được nung ở nhiệt độ cao nên có độ chịu lực và độ bền cao, có thể duy trừ từ 10 – 15 năm hoặc lâu hơn nữa nếu được chăm sóc đúng cách.
Răng sứ Lava
Răng sứ Lava được xem là dòng răng sứ cao cấp nhất hiện nay. Chúng có xuất xứ từ Mỹ, được chế tác từ các phân tử Nano và nung ở nhiệt độ cao, cho độ bền tối ưu.
Với khả năng chịu lực tốt, chịu nhiệt ổn định, cùng với đó là khả năng giữ màu sắc trắng sáng như ban đầu ngay cả khi đã sử dụng một thời gian dài, răng sứ Lava đã trở thành lựa chọn bọc sứ hàng đầu của nhiều người.
Quy trình bọc sứ cho răng lòi xỉ
Để có được một hàm răng đều đẹp hơn, quy trình bọc sứ cho răng lồi xỉ có thể được thực hiện như sau:
Thăm khám và tư vấn: Bác sĩ sẽ tiến hành kiểm tra tổng quát toàn bộ hàm răng cũng như sức khỏe răng miệng. Ngoài ra, các phương pháp chẩn đoán hình ảnh như chụp X-quang và CT cũng có thể được thực hiện để đưa ra đánh giá chuyên sâu và toàn diện hơn. Nếu kết quả thăm khám đạt điều kiện bọc răng sứ, bạn sẽ được tư vấn về loại răng sứ và lựa chọn màu sắc răng phù hợp.

Vệ sinh răng miệng: Đây là bước cơ bản nhưng không thể thiếu trước khi bọc sứ, bác sĩ sẽ tiến hành lấy cao răng và vệ sinh răng miệng cho bạn một cách thật kĩ lưỡng để đảm an toàn cho các bước tiếp theo trong quy trình.
Gây tê và mài cùi răng: Bạn sẽ được gây tê tại vùng cần bọc răng sứ để ngăn cảm giác đau hoặc ê buốt trong quá trình mài răng. Tiếp đến, bác sĩ sẽ sử dụng các thiết bị chuyên dụng để mài răng thật thành các trụ (cùi răng) có kích thước phù hợp cho việc gắn mão sứ.

Lấy dấu răng: Kết thúc quá trình mài cùi, bạn sẽ được lấy dấu răng toàn hàm. Sau đó chúng sẽ được chuyển đến phòng chế tác để tạo ra những chiếc mão sứ có kích thước khít sát với cùi răng, đồng thời hài hòa về hình thể và màu sắc với toàn cung hàm.
Gắn răng tạm: Quá trình chế tác răng sứ có thể mất một vài ngày, vì vậy bác sĩ sẽ gắn răng tạm bằng nhựa cho bạn để bảo vệ cùi răng khỏi các yếu tố gây hại tấn công, đồng thời đảm bảo tính thẩm mỹ của hàm răng.

Gắn răng sứ: Khi răng sứ được chế tác xong, bác sĩ sẽ gắn thử răng sứ cho bạn để đánh giá độ khít, độ chuẩn của khớp cắn và tính thẩm mỹ. Nếu bạn không gặp vấn đề gì về ăn nhai, không cảm thấy cộm, cấn… những chiếc răng sứ này sẽ được gắn cố định vào cùi răng bằng keo chuyên dụng.
Cuối cùng, bác sĩ sẽ kiểm tra tổng quát lại một lần nữa và hướng dẫn cách chăm sóc, bảo vệ sức khỏe răng miệng.
☛ Xem tiếp: Bọc răng sứ chi phí hết bao nhiêu?
Bọc răng sứ chất lượng chuẩn y khoa tại nha khoa Thúy Đức
Quá trình bọc răng sứ cho răng lòi xỉ đòi hỏi độ chính xác cao từ kỹ thuật, tay nghề bác sĩ đến việc chế tác và chất lượng răng sứ. Chỉ cần một sai sót nhỏ cũng có thể khiến răng thật bị tổn thương và để lại nguy cơ biến chứng. Vì vậy, nếu muốn đảm bảo an toàn, thẩm mỹ, bạn nên chọn cho mình một địa chỉ nha khoa uy tín để thăm khám và thực hiện.
Với hơn 19 năm kinh nghiệm trong lĩnh vực nha khoa, nha khoa Thúy Đức đã điều trị thành công rất nhiều ca răng lòi sỉ và hàng ngàn trường hợp bọc sứ với quy trình bọc răng sứ chuẩn y khoa, đảm bảo an toàn trong suốt quá trình thực hiện, hoàn toàn không xảy ra biến chứng.

Đến với nha khoa Thúy Đức, bạn sẽ có một nụ cười tự tin, rạng rỡ hơn với đội ngũ y bác sĩ được đào tạo chuyên sâu trong và ngoài nước, cùng trang thiết bị máy móc hiện đại. Từng chiếc răng sứ sẽ được chế tác chính xác nhờ kỹ thuật CAD/CAM với thiết kế 3D cho độ chính xác hoàn hảo và tính thẩm mỹ cao nhất.
Hãy đến với Thúy Đức để trải nghiệm dịch vụ nha khoa tốt nhất với lộ trình điều trị chuẩn y khoa, mức chi phí minh bạch cùng chế độ bảo hành rõ ràng.

