Súc miệng nước muối từ lâu đã được biết đến như một phương pháp đơn giản nhưng hiệu quả trong việc bảo vệ và chăm sóc sức khỏe răng miệng. Vậy, bạn đã [Xem thêm]
Chăm sóc răng niềng
Mất răng số 6 có niềng răng được không?
Răng số 6 là chiếc răng hàm có chức năng cực kì quan trọng giúp đảm nhận vai trò nhai chính. Tuy nhiên, vì 1 lí do nào đó mà chiếc răng này bị mất đi [Xem thêm]
Tiết lộ 3 lí do khiến mắc cài sứ bị ố vàng sau 1 thời gian
Niềng răng mắc cài sứ là phương pháp được nhiều người lựa chọn hiện nay khi đạt hiệu quả thẩm mỹ cao. Vì mắc cài có màu sắc gần giống với màu răng [Xem thêm]
Mewing là gì? Mewing như thế nào cho hiệu quả?
Mewing được biết đến là một phương pháp cải thiện thẩm mỹ gương mặt được nhiều người quan tâm và áp dụng. Tuy nhiên, không phải ai cũng hiểu rõ và [Xem thêm]
Xem tướng người có răng nanh nhọn – xấu hay tốt?
Theo quan niệm nhân tướng học, răng cũng là một bộ phận ảnh hưởng khá nhiều đến số phận của một người. Từng hình thái răng lại nói lên một nét tính [Xem thêm]
Giải đáp: Tập mewing có giúp mũi cao không?
Mewing là một phương pháp rất được quan tâm trong thời gian gần đây vì dễ thực hiện, có hiệu quả, và không tốn chi phí. Không những thế, những công [Xem thêm]
Cách chụp ảnh đẹp cho người răng hô
Những tấm ảnh selfie đẹp để đăng lên mạng xã hội hay lưu giữ lại những kỷ niệm ngày càng trở nên phổ biến. Bất cứ ai cũng muốn sở hữu cho mình những [Xem thêm]
Giải đáp: Niềng răng có hết lẹm cằm không?
Cằm lẹm đôi khi sẽ khiến gương mặt không cân đối, hài hòa. Nhiều người cho rằng, niềng răng có thể khắc phục được lẹm cằm. Vì vậy, trong bài viết này, [Xem thêm]
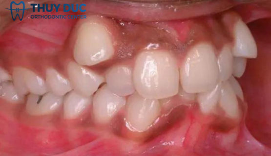
Răng mọc chồi: Nguyên nhân và cách xử lý
Răng mọc chồi là tình trạng không hề hiếm gặp ở người lớn và cả trẻ nhỏ dẫn đến nhiều vấn đề về răng miệng và sức khỏe. Trong bài viết này, cùng chúng [Xem thêm]
Tìm hiểu về hàm duy trì trong suốt
Duy trì là một giai đoạn quan trọng sau khi niềng răng, giúp đảm bảo răng không bị dịch chuyển sai chỉnh nha, và duy trì được kết quả niềng răng lâu [Xem thêm]











